Заворот желудка у собак — это угрожающее жизни состояние, требующее немедленного внимания владельцев и ветеринаров. Понимание причин, симптомов и методов лечения этого заболевания критично для спасения жизни питомца. В статье рассмотрим, что такое заворот желудка, как его распознать и какие шаги предпринять для первой помощи и лечения, чтобы обеспечить вашему четвероногому другу лучшие шансы на выздоровление.
Диета после колоректальной хирургии при установке кишечной стомы
Кишечная стома представляет собой хирургически созданный выход кишечника на поверхность тела. Эта процедура позволяет организму выделять кишечное содержимое в случаях, когда часть кишечника была удалена.
Установка стомы часто является критически важной операцией, которая может значительно улучшить качество жизни пациента.
Кишечная стома
Стома может быть временной, например, на период восстановления кишечника после хирургического вмешательства. После заживления желудочно-кишечный тракт может быть восстановлен. Однако в некоторых случаях стома устанавливается на постоянной основе.
После операции не требуется строгого соблюдения диеты. Со временем пациент может определить, какие продукты ему подходят, а какие – нет. В начале после операции диета будет зависеть от объема резекции кишечника и от того, в каком отделе была установлена стома. Питание после операций на тонком кишечнике будет отличаться от рациона, рекомендованного после колоректальной хирургии.
В начале, чтобы избежать неприятных ощущений, рекомендуется постепенно вводить в рацион новые продукты в небольших количествах и следить за реакцией организма. Всего через несколько недель после операции можно вернуться к привычному питанию, основываясь на принципах здорового питания.
Основные рекомендации по питанию для пациентов со стомой включают:
- Прием пищи не менее трех раз в день. Рекомендуется есть в одно и то же время, избегая поздних ужинов;
- Медленное и тщательное пережевывание пищи. Порции должны быть умеренными;
- Разнообразное меню, богатое витаминами и минералами;
- Употребление преимущественно свежих продуктов. Следует избегать консервантов и искусственных добавок;
- Ограничение жиров. Жирные продукты лучше заменять менее калорийными, например, вместо жирного сыра выбирать нежирный;
- Умеренное количество клетчатки из цельнозерновых продуктов, овощей и фруктов. Продукты, богатые клетчаткой, полезны при запорах, но при диарее или повышенном газообразовании их потребление следует ограничить;
- Пить не менее 2 литров жидкости в день, предпочтительно чистой воды, как во время еды, так и между приемами пищи;
- Приготовление блюд на пару, запекание в фольге или традиционное приготовление. Следует избегать жареной пищи;
- Ограничение или исключение алкоголя, сладостей, газированных напитков, большого количества яиц, соли и острых специй. Пиво строго запрещено.
Разнообразная диета
Обильное питье
При стоме, выходящей из тонкой кишки, необходимо избегать продуктов, которые плохо перевариваются, так как они могут заблокировать стому.
Диета после колоректальной хирургии должна быть индивидуализирована. Стома может вызывать различные проблемы, такие как запоры, диарея и повышенное газообразование с неприятным запахом.
При диарее, когда наблюдается более 4-6 водянистых испражнений в день, рекомендуется употреблять:
- хлеб, сухарики, мучные изделия, лапшу;
- бананы, изюм, шоколад, какао на воде;
- белый рис, картофель, рисовую кашу;
- больше жидкости – горький чай, настой из сушеных ягод.
При запоре полезно есть:
- свежие и сушеные фрукты и орехи;
- овощи, салаты, свеклу;
- пшеничные отруби и хлеб грубого помола;
- льняное семя;
- фруктовые соки и кофе.
Если беспокоит повышенное газообразование и неприятный запах, стоит исключить из рациона:
- бобовые, спаржу, брюссельскую капусту, лук, чеснок, лук-порей, цветную капусту и грибы;
- яйца и яичные продукты;
- некоторые виды сыра, например, голубой сыр;
- рыбу;
- острые специи;
- газированные и алкогольные напитки;
- кофе и кофейные напитки.
Для уменьшения неприятного запаха могут помочь йогурт, шпинат, салат, петрушка и черничный сок.
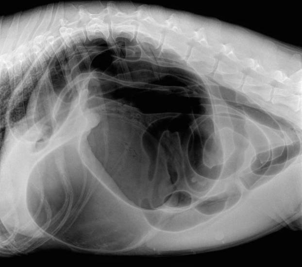
Заворот желудка у собак является одной из самых серьезных и угрожающих жизни состояний, требующих немедленного вмешательства. Эксперты подчеркивают, что это заболевание чаще всего встречается у крупных и глубокогрудных пород, таких как немецкие овчарки, доберманы и сенбернары. Основными симптомами являются резкая боль в животе, рвота, не приносящая облегчения, и беспокойное поведение животного. Важно отметить, что заворот желудка может развиться очень быстро, и каждая минута на счету. Ветеринары рекомендуют владельцам собак быть внимательными к поведению своих питомцев и незамедлительно обращаться за помощью при первых признаках недомогания. Профилактика включает в себя правильное кормление и избегание интенсивной физической активности сразу после еды.
https://youtube.com/watch?v=D4-AgmhitnA
Виды патологии
Чаще всего перекручиваются брыжейки, прикрепляющие органы пищеварительного тракта к брюшной стенке. Они сдавливают артерии и нарушают кровообращение.
К другим видам патологии относят смещение нижней части кишечника, сдавливающее толстую кишку, и вертикальное либо горизонтальное перекручивание желудка. В обоих случаях в организме начинают активно накапливаться токсины.
Симптомы и способы лечения заворота кишок у собак не зависят от его разновидности. Устранить нарушение можно только оперативным путем, поэтому при обнаружении первых признаков недомогания животное необходимо как можно скорее доставить в ветклинику. На спасение отводится не более 4 часов.
| Признак | Описание | Важность |
|---|---|---|
| Вздутие живота | Резкое увеличение объема живота, особенно в верхней части, часто сопровождается напряжением брюшной стенки. | Критически важно: Один из самых очевидных и тревожных симптомов. |
| Безуспешные попытки рвоты | Собака пытается рвать, но ничего не выходит, или выходит только пена/слизь. | Критически важно: Указывает на непроходимость, характерную для заворота. |
| Беспокойство и боль | Собака мечется, скулит, не может найти удобное положение, проявляет признаки сильной боли. | Критически важно: Сильная боль – признак серьезного состояния. |
| Учащенное дыхание и сердцебиение | Дыхание становится поверхностным и частым, пульс учащается. | Высокая: Признаки шока и нарушения кровообращения. |
| Слюнотечение | Обильное выделение слюны. | Высокая: Может быть связано с тошнотой и дискомфортом. |
| Слабость и коллапс | Собака становится вялой, шаткой, может упасть и не вставать. | Критически важно: Признак прогрессирующего шока и угрозы жизни. |
| Бледность слизистых оболочек | Десны и другие слизистые оболочки становятся бледными или синюшными. | Высокая: Указывает на нарушение кровообращения и недостаток кислорода. |
| Увеличение живота при простукивании | При простукивании живота слышен “барабанный” звук. | Высокая: Указывает на скопление газов в желудке. |
| Отсутствие дефекации | Собака не может опорожнить кишечник. | Средняя: Не всегда присутствует, но может быть дополнительным признаком. |
| Нежелание двигаться | Собака отказывается вставать или двигаться. | Высокая: Признак сильной боли и общего недомогания. |
Интересные факты
Вот несколько интересных фактов о завороте желудка у собак:
-
Скорость развития: Заворот желудка, или желудочный дилатационно-обструктивный синдром (GDV), может развиться очень быстро — всего за несколько часов. Это состояние требует неотложной медицинской помощи, так как может привести к шоку и смерти животного.
-
Предрасположенные породы: Некоторые породы собак, такие как немецкие овчарки, доберман-пинчеры, сибирские хаски и бульдоги, имеют более высокий риск развития заворота желудка. Это связано с их анатомическими особенностями, такими как форма и размер желудка.
-
Профилактика: Хотя заворот желудка может произойти у любой собаки, существуют меры профилактики, которые могут снизить риск. К ним относятся кормление собаки небольшими порциями, избегание физической активности сразу после еды и использование специальных кормушек, которые замедляют процесс поедания пищи.
https://youtube.com/watch?v=F0PBIe_fC3M
В чем польза
Куриные яйца обладают значительной пользой и минимальным вредом. Их употребление способствует общему укреплению организма и профилактике ряда заболеваний. Эти яйца содержат элементы, необходимые для нормального функционирования жизненно важных систем, которые не могут быть синтезированы самим организмом.
- Их рекомендуется включать в рацион во время беременности. Холин, содержащийся в яйцах, играет важную роль в правильном развитии плода. В небольших количествах их также стоит употреблять в период лактации для восполнения дефицита минералов в организме;
- Лецитин, который в большом количестве присутствует в желтке, способствует улучшению работы печени и мозга, а также помогает в борьбе с бляшками на стенках сосудов;
- Полезные свойства яиц активно используются для улучшения состояния кожи, волос и ногтей. Их можно есть в сыром виде или готовить питательные маски, обладающие отличными увлажняющими свойствами;
- Белок яиц богат протеинами, которые необходимы для роста мышечной массы. Это свойство активно используется спортсменами.
Существует мнение, что употребление яиц может негативно сказаться на здоровье из-за высокого содержания холестерина. Вокруг этого вопроса ведутся споры. Наиболее распространено мнение, что холестерин является причиной сердечно-сосудистых заболеваний.
Холестерин вырабатывается организмом для нормального протекания процессов пищеварения и синтеза гормонов. Он также является важным компонентом клеточных мембран. За его транспортировку отвечают два типа веществ:
- ЛПНП – липопротеины низкой плотности;
- ЛПВП – липопротеины высокой плотности.
Первый тип считается «плохим». При повышении его уровня в крови возрастает риск образования бляшек, что может нарушить кровообращение. Второй тип, наоборот, считается «хорошим»: он отвечает за транспортировку жиров в печень, которая затем выводит их из организма.
Негативные последствия могут возникнуть при высоком уровне холестерина. Однако употребление продуктов, содержащих холестерин, практически не влияет на его уровень в крови. Организм самостоятельно регулирует синтез этого вещества, поэтому его употребление не приносит вреда.
Симптоматика
Чаще всего заворот желудка у собак проявляется вздутым и болезненным желудком, позывами к рвоте, избыточным слюнотечением. Одновременно с этим домашний питомец проявляет беспокойство и нервозность, стараясь проявить наличие проблем с самочувствием.
По мере развития патологического процесса проявляются признаки шокового состояния, в том числе одышка, бледность слизистой ротовой полости. Это обуславливается тем, что заворот приводит к пережиму кровеносных сосудов желудка, а также селезенки.
При выявлении симптомов следует в оперативном режиме обратиться к опытному врачу для подтверждения или опровержения потенциального диагноза. Нужно понимать, что точный диагноз можно поставить только в ветеринарной клинике, но при этом врач должен знать схему питания домашнего питомца в последнее время. Ситуации, когда у собаки проявилось только расширение желудка, не предполагают проведение хирургического вмешательства.
https://youtube.com/watch?v=Ev37l_EsM38
Цены на услуги ультразвуковой диагностики (УЗИ)
| УЗИ (ОБЩЕЕ) со скидкой 20% | |
| УЗИ органов брюшной полости (полный комплекс) – печень, желчный пузырь, желчные протоки, поджелудочная железа, селезенка | 2560 |
| УЗИ органов брюшной полости (полный комплекс) – печень, желчный пузырь, желчные протоки, поджелудочная железа, селезенка, мезентериальные лимфоузлы, полые органы (кишечник, желудок), брюшная аорта | 4480 |
| УЗИ печени | 1600 |
| УЗИ органов брюшной полости с желчегонным завтраком | 3600 |
| УЗИ желчного пузыря и протоков | 1600 |
| УЗИ желчного пузыря и протоков или с определением его сократимости (холецистография) | 2000 |
| УЗИ поджелудочной железы | 1600 |
| УЗИ селезенки | 1600 |
| УЗИ почек и надпочечников | 2800 |
| УЗИ почек | 1600 |
| УЗИ органов брюшной полости и забрюшинного пространства (почки, надпочечники, забрюшинные лимфоузлы) | 4000 |
| УЗИ плевральной полости | 1600 |
Как можно предотвратить заворот желудка?
Конечно, ни один владелец не хочет, чтобы у его собаки развилась болезнь, и ветеринаров часто спрашивают, как это предотвратить. Было бы благоразумно не разводить собак, у которых развился заворот, и искать щенков, происходящих из семей, в которых нет истории болезни. Многие ветеринары согласны с тем, что гастропексия является хорошей идеей для тех собак, которые, как известно, склонны к этому заболеванию.
Рекомендуется кормить понемногу и часто, и не рекомендуется кормить собак с высоты (как когда-то считалось). Потенциально может помочь кормление обезжиренной пищей и использование миски для медленного кормления, чтобы уменьшить скорость, с которой пища проглатывается.
Симптомы заворота жилудка
Тошнота и рвота с белой пеной могут указывать на заворот желудка у вашей собаки.
Чтобы своевременно оказать помощь своему питомцу, важно знать, какие симптомы могут свидетельствовать о данной проблеме. На что стоит обратить внимание?
- Увеличенное слюноотделение и частое облизывание;
- Тошнота, рвота с белой пеной;
- Вздутие и напряжение живота;
- Бледность десен, иногда с синеватым оттенком;
- Беспокойное поведение, скуление, попытки рыть землю;
- Выгнутая спина и сутулость;
- Неспособность лечь, постоянное движение;
- Слабость, возможная потеря сознания.
Устройство и механизм работы желудка
Желудок этого млекопитающего – это мешочек, который расположен таким образом, что самая широкая его часть находится спереди, соответственно сзади он сужен. С одной стороны желудка расположен вход пищевода, а с другой – выход в кишечник. Между ними находится «малая кривизна». Круглая мышечная складка при входе пищевода расположена таким образом, чтобы для проталкивания пищевых масс совершалось усилие, а употребленный вместе с едой воздух выталкивался.
Как и у любого другого млекопитающего, у собак в желудке есть особая слизистая, вырабатывающая желудочный сок, который растворяет часть пищи.
Желудок в пустом состоянии расположен под левым ребром, но, наполняясь, он растягивается и доходит до нижней стенки живота. Именно эта способность влияет на возможность возникновения заворота кишок (перекручивание желудка и селезенки вокруг пищевода).
Симптомы заворота желудка у собак
Уже в течение первого часа можно заметить признаки серьезного заболевания:
состояние вашего питомца резко ухудшается, особенно после кормления и последующей физической активности;
- повышенная тревожность, животное не может успокоиться и ищет удобное место для облегчения боли;
- рвота и обильное слюноотделение;
- значительное увеличение объема живота, он выглядит как барабан, при прослушивании можно услышать активное газообразование, звуки работы кишечника отсутствуют;
- изменение цвета слизистых оболочек глаз или носа;
- появление одышки и снижение температуры тела;
- питомец испытывает трудности при вставании на лапы – сначала на задние, затем на передние конечности.
Лечение заворота желудка у собак
Заворот желудка — это настоящая неотложная ситуация, животное требует немедленного лечения (даже в 3 часа ночи воскресенья!) и не может лечиться дома. Поскольку большинство животных к тому времени, когда они попадают к ветеринару, находятся в критическом состоянии, их необходимо сначала стабилизировать, так как они могут быть недостаточно здоровы, чтобы выдержать анестезию, и немедленное хирургическое вмешательство редко является лучшим планом.
Стабилизация
Будет установлен катетер для внутривенного введения, и собакам начнут вводить жидкости с высокой скоростью для лечения шока. Некоторые ветеринары могут облегчить вздутие живота, используя орогастральный зонд для удаления избыточного газа и жидкости. В качестве альтернативы может быть проведена процедура, известная как «трохаризация», при которой игла вводится в желудок через брюшную стенку для освобождения захваченного воздуха.
Собакам с сердечной аритмией (нерегулярным сердечным ритмом) могут понадобиться специальные препараты для восстановления нормального сердечного ритма. Кроме того, пациентам следует предоставить мощное обезболивающее и дополнительный кислород.
Операция
Как только пациент стабилизируется, необходимо немедленно провести операцию, чтобы исправить проблему и убрать ротацию желудка. Будет перемещено не только желудок, но и осмотрены окружающие органы на наличие признаков повреждения. Селезенку нередко приходится удалять из-за местного повреждения, вызванного недостатком кровоснабжения. Точно так же может потребоваться удаление части желудка, если он не подлежит восстановлению.
Гастропексия
Процедура, называемая «гастропексия», заключается в том, что желудок надежно фиксируется к стенке брюшной полости, чтобы избежать его вращения. Чаще всего данная операция выполняется в ходе экстренного вмешательства, чтобы предотвратить возможность повторного заворота в будущем. На самом деле, некоторым собакам, находящимся в группе риска, гастропексия проводится в профилактических целях, чтобы минимизировать вероятность развития заворота. Эта процедура часто осуществляется во время стерилизации и может быть выполнена с использованием лапароскопического метода, что делает ее менее травматичной.
Что можно обнаружить? Самые частые находки
Гастриты, энтериты, колиты
Воспалительные процессы в желудочно-кишечном тракте могут быть вызваны разными причинами: неподходящий корм, погрешности в питании, регулярное поедание инородных предметов (травматизация), паразитарные заболевания, пищевая непереносимость и другие. При ультразвуковом исследовании данные заболевания могут проявляться в виде утолщения слоев стенки органа, изменений в соотношении слоев и/или характера содержимого. Часто гастроэнтероколиты сопровождаются нарушениями перистальтики, что также выявляется на УЗИ.
Инородные предметы
Домашним животным свойственно играть и грызть игрушки или иные предметы, которыми они заинтересуются. Нередко они могут разгрызть и проглотить какой-либо предмет, будь то кость, детская игрушка или пакет. После этого есть несколько вариантов исхода:
- предмет небольшой и сам выйдет естественным путём;
- предмет небольшой и выйдет со рвотой;
- предмет может находиться в желудке животного довольно длительное время, раздражая слизистую и провоцируя рвоту;
- предмет довольно крупный и застрянет в кишечнике, вызвав частичную или полную непроходимость желудочно-кишечного тракта.
Подозрение на проглатывание инородного предмета – прямое показание для ультразвукового исследования. Несмотря на некоторые ограничения, которые накладывают особенности ЖКТ (например, газ в полости желудка мешает исследованию), в большинстве случаев инородные предметы хорошо диагностируются с помощью УЗИ, за исключением некоторых случаев: метеоризм желудка и кишечника, мелкие мягкие инородные предметы.
Язвы, эрозии
Язвы и эрозии также можно обнаружить при исследовании, особенно в кишечнике, если он освобожден от газов. В данном случае при острой боли можно исключить прободение стенки желудка или кишечника по наличию свободного газа, свободной жидкости в брюшной полости, а также по измененным в области поражения жировым тканям.
Инвагинации
Инвагинация – это внедрение одного участка кишечника в другой, вызывающий непроходимость кишечника. Инвагинации в большинстве случаев требуют хирургического вмешательства и являются следствием разных патологических процессов – воспалительных, инородных предметов, нарушений перистальтики, опухолей и других. УЗИ является достоверным методом диагностики данной патологии.
Лимфангиэктазия
Лимфангиэктазия – патологическое расширение лимфатических протоков, находящихся в стенках кишечника, которое приводит к рвоте, диарее, потере белка, выпоту жидкости в брюшную полость. Признаки данной патологии можно обнаружить на ультразвуковом исследовании при должной подготовке: в отсутствие голодной диеты патологический процесс можно спутать с нормой при естественном пищеварении.
Новообразования
Новообразования желудка и кишечника могут выглядеть по-разному. Например, как объемное образование, растущее в просвет или, наоборот, снаружи органа; может быть утолщение стенки с отсутствием дифференциации слоев, а также существует форма индолентной лимфомы у кошек, когда может не быть утолщения стенки, только лишь изменения в соотношении слоев стенки. УЗИ в данном случае может быть способом обнаружения опухоли или изменений органа, но не постановки точного диагноза: для этого нужно брать биопсию.
Нарушения перистальтики
Многие заболевания сопровождаются нарушениями перистальтики желудочно-кишечного тракта. Например, может быть усиленная, спастическая перистальтика при остром гастроэнтероколите, замедление или отсутствие перистальтики (гипотония и атония соответственно), например, при остром панкреатите или парвовирусном энтерите. Обнаружение этих изменений позволит врачу-терапевту дополнительно назначить препараты, стимулирующие перистальтику, или препараты для расслабления гладкой мускулатуры кишечника.
Ультразвук является рутинным методом для диагностики различных патологических состояний желудочно-кишечного тракта. К сожалению, не всегда УЗИ дает четкий окончательный диагноз, так как для диагностики некоторых заболеваний требуется проведение биопсии и гистологического исследования. При невозможности постановки точного диагноза (например, в случаях подозрения на новообразования) прибегают к дополнительным методам: гастроскопии, колоноскопии, диагностической лапаротомии со взятием биопсии и другим методам.
При обнаружении у Вашего питомца симптомов поражения желудочно-кишечного тракта Вы можете самостоятельно записаться на УЗИ ЖКТ или брюшной полости по телефону 8 495 995 50 30.
Берлизова Алина Михайловна,
Ветеринарный врач, эксперт визуальной диагностики
Ветеринарная клиника Свой доктор Люблино, Москва
Вернуться к списку
Патогенез развития заболевания
Началом заболевания становится процесс, при котором пищевой комок обрабатывается желудочным соком. Если корм содержит много углеводов, это приводит к усиленному газообразованию и увеличению объема желудка. Критическое вздутие вызывает перерастяжение стенок, что нарушает иннервацию и кровоснабжение, а также смещает орган в области, где расположена наиболее слабая связка, поддерживающая желудок в брюшной полости – в районе селезенки.
Под воздействием силы тяжести весь комплекс (сосуды, селезенка и желудок) начинает вращаться вокруг пищевода, что приводит к сжатию кровеносных и лимфатических сосудов. Ткани теряют питание, и развивается ишемия. Спустя 4 часа ткани начинают подвергаться некрозу (отмиранию), восстановление которых становится невозможным.
Наиболее критическим моментом является сжатие желудком жизненно важных органов (сердца, легких). Этот этап имеет особое значение в проявлении симптомов заворота; при узкой грудной клетке орган может вдавливать их в ребра, что ухудшает кровоснабжение организма, нарушает газообмен и дыхание.
Сдавленная селезенка также увеличивается в несколько раз, накапливая недоокисленные продукты обмена, что приводит к интоксикации, негативно сказывающейся на всех органах и центральной нервной системе.
Возможные причины заворота желудка
- поворот с боку на бок через спину с наполненным желудком,
- рвота или понос, создающие сильную волну в кишечнике(есть случай когда собака напилась соленой морской воды, являющейся сильным слабительным средством и заворот не заставил себя ждать, так же как и попытка отрыгнуть застрявшую кость у маленькой собачки спровоцировала заворот),
- кормление большими объемами пищи (у собак, употребляющих сухой корм заворот желудка встречается реже),
- физическая нагрузка после кормления, просто ночное время (до 80 %всех случаев заворота желудка у собак встречается в вечернее и ночное время, связано это с возбуждением 10 черепномозгового нерва – вагуса).
Причинами возникновения заболевания бывает обильное кормление раз в день недоброкачественными кормами и объемистыми кашами и овощами, активные прогулки после плотной трапезы, жадность собаки при поедании пищи и заглатывание воздуха во время еды, сильные попытки рвоты при застревании инородных предметов или усиление перестальтики кишечника под воздейсвтием средств, оказывающих слабительный эффект.
Основные симптомы
Физиологические проявления могут возникать в произвольной последовательности. Если вы обнаружили как минимум два из них, рекомендуется обратиться к специалисту.
Вздутие живота
Из-за скапливающихся газов живот приобретает шарообразную форму и становится очень тугим. К самостоятельной пальпации лучше не прибегать, так как слишком сильное нажатие чревато разрывом внутренних органов.
Болезненность брюшной полости и не только
При возникновении приступа наблюдается значительное ухудшение состояния животного. Собака теряет интерес к играм и угощениям, проявляет тревогу и издает тихие звуки. Обычно она ложится на живот, вытягивая передние лапы, и время от времени переворачивается с боку на бок, пытаясь облегчить дискомфорт. В результате кишечной колики питомец может вести себя необычно: становится либо слишком вялым, либо проявляет агрессию и может укусить хозяина, если тот попытается прикоснуться к его животу.
Рвота и проблемы со стулом
Из-за перетягивания верхних отделов ЖКТ рвотный рефлекс не всегда срабатывает. Животное мучается от тошноты, но не может извергнуть из себя рвотные массы. Из-за этого они остаются в желудке, усугубляя его состояние. Если рвота все-таки происходит, то внешний вид масс напоминает обычную пену.
Аналогичная проблема возникает и со стулом. Каловые массы застаиваются, так как путь для их выхода оказывается закрытым. Любая попытка опорожниться заканчивается неудачей и сильной болью, поэтому этот симптом довольно сложно не заметить.
Нарушение дыхания
Увеличенный живот оказывает давление на диафрагму, что приводит к затруднению дыхания, появлению хрипов и повышенному слюноотделению. Каждое дыхательное движение требует от животного значительных усилий, в результате чего его слизистые оболочки могут быстро приобретать синеватый или бледный оттенок из-за нехватки кислорода. В случае острого приступа гипоксии собака может потерять сознание.
Лечение заворота желудка
Никакие таблетки и физиопроцедуры не способны избавить животное от данного патологического состояния. Требуется в обязательном порядке проведение операции. И чем раньше будет диагностирован заворот и прооперирован четверолапый пациент, тем больше вероятности, что питомец выздоровеет.
Вмешательство проводится экстренно, в некоторых случаях хирурги делают прокол брюшной стенки для выпускания излишков воздуха и понижения давления на орган.
Операция включает следующие этапы:
- хирург разрезает небольшой участок брюшной стенки;
- перекрученному органу придает нормальное положение;
- фиксирует желудок, используя специальную технологию, в дальнейшем не позволяющую органу заворачиваться – подшивает его к брюшной стенке;
- посредством зонда специалист осуществляет опорожнение и промывание пострадавшего органа;
- если в процессе оперативной манипуляции обнаруживаются отмершие ткани, то требуется их иссечение;
- в завершении, абдоминальную полость промывает антисептическими средствами, осматривает на предмет кровотечений;
- в конце процедуры, если хирург удостоверится, что осложнений нет, он зашивает разрез.
После оперативного вмешательства, четверолапому пациенту назначают ряд анализов и УЗИ, чтобы выявить возможные нарушения в работе органов ЖКТ. Если патологии были обнаружены, то врач занимается их лечением. В определенных ситуациях после проведенного хирургии пациент нуждается в парентеральном питании.
Длительность восстановительно-реабилитационного периода обусловлена множеством факторов – тяжестью болезни, наличием осложнений и других недугов, возрастными особенностями собаки. Молодые животные реабилитируются намного быстрее, чем их пожилые собратья. Обычно животное находится в больничном стационаре в течение 2-3 суток, в осложненном состоянии для восстановления требуется около 4-5 дней.
Любимец двое суток должен голодать, ежедневно его швы обрабатываются. Рана, оставшаяся после операции, закрывается повязкой. Чтобы избежать развития инфекции, псу назначают антибактериальные средства, дополнительно врач может порекомендовать прием поддерживающих и противорвотных медикаментов. Шовный материал удаляется спустя 10-14 дней.
Лечение путем оперативного вмешательства
Лечение данной патологии с помощью медикаментов не приносит результатов. Применение лекарств возможно только после хирургического вмешательства для облегчения сопутствующих симптомов.
Наиболее действенным методом терапии является хирургическая операция. Только она позволяет восстановить нормальное расположение внутренних органов.
Подготовка к операции
Во избежание аспирационной пневмонии четвероногому пациенту дают противорвотные препараты, а для снятия болевого шока – обезболивающие, спазмолитики и стероиды. После этого вводят анестезию для погружения в общий наркоз.
Ход вмешательства
Убедившись, что собака погрузилась в сон, хирург начинает операцию. Процесс хирургического вмешательства проходит по следующему плану:
- Выполняется надрез брюшной стенки, после чего в нее вводится игла. Это необходимо для удаления скопившихся газов.
- Кишечник и другие перекрученные органы возвращаются в правильное положение.
- С помощью зонда удаляются остатки пищи, а также иссекаются мертвые участки слизистой оболочки.
- Брюшная полость промывается антисептическими растворами, а желудок пришивается к брюшной стенке.
Прогноз зависит от того, насколько быстро было оказано медицинское вмешательство. Чем раньше будет выполнена операция, тем выше вероятность успешного выздоровления без осложнений.
Послеоперационный уход за животным
Прооперированного пациента оставляют в стационаре на 4-5 дней. Все это время он питается исключительно парентеральным путем, то есть в обход ЖКТ. Все питательные вещества вводят внутривенно вместе с антибиотиками, гастропротекторами и противорвотными.
При стабильном улучшении самочувствия собаку возвращают хозяину. С этого момента об обработке швов и приеме препаратов приходится заботиться самостоятельно. Также на время реабилитации необходимо создать максимально комфортные условия содержания, исключив контакты с другими животными и детьми. Для более быстрого восстановления обязательно назначают щадящую диету, а эффективность терапии отслеживают на периодических осмотрах. К прежней жизни можно вернуться только после разрешения от ветеринара.
Причины возникновения болезни и ее развитие
Чтобы спасти собаку с заворотом желудка, необходимо незамедлительно обратиться к ветеринару. Чаще всего это заболевание встречается у крупных пород, таких как лабрадоры, доберманы, среднеазиатские, немецкие и восточноевропейские овчарки, а также доги. Причины, вызывающие данное недомогание, могут быть разнообразными, и до сих пор не все факторы, способствующие его развитию, изучены.
Считается, что заворот желудка чаще всего наблюдается у собак, вес которых превышает 25 килограммов. Это связано с тем, что у таких животных наблюдается значительное растяжение слабых связок. В результате мышцы не могут удержать заполненный пищей желудок на своем месте. На развитие заболевания также влияют форма грудной клетки и живот собаки. Увеличение порции корма приводит к растяжению желудка, что, в свою очередь, может вызвать ослабление его стенок.
Эксперты полагают, что заворот желудка может быть спровоцирован кормлением собак неестественной для них пищей, такой как каши из недорогих круп, супы и корма эконом-класса. Это может привести к нарушениям в работе желудка. Кроме того, наличие заболеваний желудка у предков собаки также может способствовать возникновению заворота.
Прогноз и возможные осложнения после лечения
Прогноз после лечения заворота желудка у собак зависит от нескольких факторов, включая скорость обращения за ветеринарной помощью, общее состояние здоровья животного и наличие осложнений. Важно отметить, что заворот желудка является неотложным состоянием, и чем быстрее будет оказана помощь, тем выше шансы на успешное восстановление.
Если собака была доставлена в ветеринарную клинику на ранней стадии заболевания, и ветеринар смог быстро провести необходимые процедуры, такие как декомпрессия желудка и хирургическое вмешательство, то прогноз может быть достаточно благоприятным. В таких случаях многие собаки полностью восстанавливаются и могут продолжать вести активную жизнь.
Однако, если заворот желудка был диагностирован поздно, это может привести к серьезным осложнениям, таким как некроз стенки желудка, перитонит или шок. Эти состояния требуют более сложного и длительного лечения, а также могут значительно ухудшить прогноз. Некроз тканей может привести к необходимости удаления части желудка, что также влияет на дальнейшую жизнь собаки.
После хирургического вмешательства важно следить за состоянием собаки и соблюдать все рекомендации ветеринара. Восстановительный период может занять от нескольких дней до нескольких недель, в зависимости от тяжести состояния и проведенного лечения. В это время необходимо контролировать рацион питания, избегая переедания и резких изменений в диете, чтобы предотвратить повторное возникновение проблемы.
К возможным осложнениям после лечения заворота желудка можно отнести:
- Инфекции, возникающие в результате хирургического вмешательства;
- Повторный заворот желудка, особенно если не были предприняты меры по профилактике;
- Проблемы с пищеварением, такие как вздутие или рвота;
- Изменения в поведении, связанные с болевыми ощущениями или стрессом после операции.
Важно помнить, что профилактика заворота желудка включает в себя правильное кормление, избегание интенсивных физических нагрузок сразу после еды и регулярные ветеринарные осмотры. Владельцы собак должны быть внимательны к признакам, указывающим на возможные проблемы с желудком, таким как рвота, беспокойство, нехарактерное поведение и вздутие живота. При первых же подозрениях на заворот желудка необходимо немедленно обратиться к ветеринару.
Вопрос-ответ
Можно ли спасти собаку, у которой заворот желудка?
При завороте желудка наблюдается непроходимость сфинктеров, вследствие чего происходит скопление газов и развитие шокового состояния. Устранить данную патологию можно только хирургическим путем. Без операции заворот желудка всегда приводит к смерти животного.
Как ведёт себя собака при завороте кишков?
Заворот кишок у собаки: главное. Чаще такому состоянию подвержены собаки крупных пород. Состояние проявляется такими симптомами, как боль, увеличение объема живота, отсутствие стула, невозможность собаки встать на ноги, рвота, повышенная температура. Заболевание смертельно опасно для питомца.
Как ведут себя собаки, когда у них заворот желудка?
Наиболее явными признаками заворота желудка являются непродуктивные позывы к рвоте (попытки вызвать рвоту, но ничего не выходит), заметно вздутый живот, который ощущается напряженным, как барабан, и признаки нарастающего стресса, такие как хождение взад-вперед, скуление или принятие молитвенной позы с опущенными передними ногами и поднятыми вверх задними.
Советы
СОВЕТ №1
Регулярно следите за рационом вашей собаки. Избегайте резких изменений в питании и старайтесь кормить питомца небольшими порциями несколько раз в день, чтобы снизить риск заворота желудка.
СОВЕТ №2
Обратите внимание на поведение вашей собаки после еды. Если вы заметили, что она пытается рвать, беспокойно ходит или у нее появляется вздутие живота, немедленно обратитесь к ветеринару.
СОВЕТ №3
Избегайте физической активности с собакой сразу после кормления. Дайте ей время на переваривание пищи, прежде чем начинать прогулку или активные игры.
СОВЕТ №4
Проконсультируйтесь с ветеринаром о возможных предрасположенностях вашей породы к завороту желудка и обсудите профилактические меры, такие как использование специальных кормов или добавок.
Прогноз после лечения заворота желудка у собак зависит от нескольких факторов, включая скорость обращения за ветеринарной помощью, общее состояние здоровья животного и наличие осложнений. Важно отметить, что заворот желудка является неотложным состоянием, и чем быстрее будет оказана помощь, тем выше шансы на успешное восстановление.
Если собака была доставлена в ветеринарную клинику на ранней стадии заболевания, и ветеринар смог быстро провести необходимые процедуры, такие как декомпрессия желудка и хирургическое вмешательство, то прогноз может быть достаточно благоприятным. В таких случаях многие собаки полностью восстанавливаются и могут продолжать вести активную жизнь.
Однако, если заворот желудка был диагностирован поздно, это может привести к серьезным осложнениям, таким как некроз стенки желудка, перитонит или шок. Эти состояния требуют более сложного и длительного лечения, а также могут значительно ухудшить прогноз. Некроз тканей может привести к необходимости удаления части желудка, что также влияет на дальнейшую жизнь собаки.
После хирургического вмешательства важно следить за состоянием собаки и соблюдать все рекомендации ветеринара. Восстановительный период может занять от нескольких дней до нескольких недель, в зависимости от тяжести состояния и проведенного лечения. В это время необходимо контролировать рацион питания, избегая переедания и резких изменений в диете, чтобы предотвратить повторное возникновение проблемы.
К возможным осложнениям после лечения заворота желудка можно отнести:
- Инфекции, возникающие в результате хирургического вмешательства;
- Повторный заворот желудка, особенно если не были предприняты меры по профилактике;
- Проблемы с пищеварением, такие как вздутие или рвота;
- Изменения в поведении, связанные с болевыми ощущениями или стрессом после операции.
Важно помнить, что профилактика заворота желудка включает в себя правильное кормление, избегание интенсивных физических нагрузок сразу после еды и регулярные ветеринарные осмотры. Владельцы собак должны быть внимательны к признакам, указывающим на возможные проблемы с желудком, таким как рвота, беспокойство, нехарактерное поведение и вздутие живота. При первых же подозрениях на заворот желудка необходимо немедленно обратиться к ветеринару.
Прогноз после лечения заворота желудка у собак зависит от нескольких факторов, включая скорость обращения за ветеринарной помощью, общее состояние здоровья животного и наличие осложнений. Важно отметить, что заворот желудка является неотложным состоянием, и чем быстрее будет оказана помощь, тем выше шансы на успешное восстановление.
Если собака была доставлена в ветеринарную клинику на ранней стадии заболевания, и ветеринар смог быстро провести необходимые процедуры, такие как декомпрессия желудка и хирургическое вмешательство, то прогноз может быть достаточно благоприятным. В таких случаях многие собаки полностью восстанавливаются и могут продолжать вести активную жизнь.
Однако, если заворот желудка был диагностирован поздно, это может привести к серьезным осложнениям, таким как некроз стенки желудка, перитонит или шок. Эти состояния требуют более сложного и длительного лечения, а также могут значительно ухудшить прогноз. Некроз тканей может привести к необходимости удаления части желудка, что также влияет на дальнейшую жизнь собаки.
После хирургического вмешательства важно следить за состоянием собаки и соблюдать все рекомендации ветеринара. Восстановительный период может занять от нескольких дней до нескольких недель, в зависимости от тяжести состояния и проведенного лечения. В это время необходимо контролировать рацион питания, избегая переедания и резких изменений в диете, чтобы предотвратить повторное возникновение проблемы.
К возможным осложнениям после лечения заворота желудка можно отнести:
- Инфекции, возникающие в результате хирургического вмешательства;
- Повторный заворот желудка, особенно если не были предприняты меры по профилактике;
- Проблемы с пищеварением, такие как вздутие или рвота;
- Изменения в поведении, связанные с болевыми ощущениями или стрессом после операции.
Важно помнить, что профилактика заворота желудка включает в себя правильное кормление, избегание интенсивных физических нагрузок сразу после еды и регулярные ветеринарные осмотры. Владельцы собак должны быть внимательны к признакам, указывающим на возможные проблемы с желудком, таким как рвота, беспокойство, нехарактерное поведение и вздутие живота. При первых же подозрениях на заворот желудка необходимо немедленно обратиться к ветеринару.






