Заболевания мочеполовой системы у кошек — серьезная проблема, влияющая на здоровье и качество жизни питомца. В статье рассмотрим основные симптомы и признаки этих заболеваний, а также причины их возникновения. Вы узнаете о методах лечения и препаратах, необходимых случаях обращения к ветеринару и последствиях отсутствия лечения. Понимание этих аспектов поможет своевременно распознать проблемы и обеспечить питомцу необходимую помощь для поддержания его здоровья.
Можно ли применять народные средства
При лечении цистита у кошек возможно применение народных методов в качестве вспомогательных, но только после консультации с ветеринаром. Это объясняется тем, что полагаться исключительно на народные рецепты для полного излечения болезни нецелесообразно — в лучшем случае заболевание может перейти в хроническую стадию. Кроме того, не все средства, подходящие для людей, безопасны для котов. Некоторые травяные смеси могут не только ослабить действие медикаментов, но и вызвать нежелательные реакции, что может привести к серьезным побочным эффектам.
В большинстве случаев для борьбы с циститом используют мочегонные и противовоспалительные травы и сборы. К наиболее распространенным относятся липа, одуванчик, календула, береза и толокнянка. Настой, приготовленный из этих трав, следует давать питомцу в небольших дозах (в зависимости от возраста) несколько раз в день.
Иногда рекомендуется применять прогревающие компрессы или укладывать грелку на подстилку для кошки. Однако такие процедуры могут оказать противоположный эффект: спровоцировать обострение или осложнения, что негативно скажется на состоянии животного.
Эксперты в области ветеринарии подчеркивают, что заболевания мочеполовой системы у кошек являются одной из наиболее распространенных проблем, с которыми сталкиваются владельцы домашних животных. По их мнению, такие заболевания могут проявляться в различных формах, включая инфекции мочевых путей, мочекаменную болезнь и воспалительные процессы. Важно отметить, что симптомы, такие как частое мочеиспускание, кровь в моче или болезненные ощущения, требуют немедленного обращения к ветеринару. Специалисты рекомендуют регулярные профилактические осмотры и контроль за рационом питания, так как неправильное кормление может способствовать развитию заболеваний. Также эксперты акцентируют внимание на важности обеспечения доступа к свежей воде и поддержания нормального уровня стресса у кошек, что может значительно снизить риск возникновения проблем с мочеполовой системой.
https://youtube.com/watch?v=GYr0N0iefSc
Причины образования
Причинами возникновения коккобацилл являются:
- Длительное медикаментозное лечение, например, антимикробными препаратами или антибиотиками;
- Частое ношение нижнего белья из синтетики;
- Недостаточная гигиена;
- Постоянное использование ежедневных прокладок;
- Снижение иммунитета;
- Климакс;
- Заболевание щитовидной железы;
- Беременность.
| Заболевание | Симптомы | Лечение |
|---|---|---|
| Цистит | Частое и болезненное мочеиспускание, кровь в моче, мочеиспускание в неположенных местах, беспокойство | Антибиотики, противовоспалительные препараты, спазмолитики, диета, увеличение потребления воды |
| Мочекаменная болезнь (уролитиаз) | Затрудненное или невозможное мочеиспускание, боль при мочеиспускании, кровь в моче, частые позывы к мочеиспусканию, рвота, апатия | Диета, препараты для растворения камней, хирургическое удаление камней, катетеризация |
| Почечная недостаточность | Повышенная жажда, частое мочеиспускание, рвота, потеря аппетита, снижение веса, апатия, неприятный запах изо рта | Диета с низким содержанием белка и фосфора, инфузионная терапия, препараты для поддержания функции почек, контроль артериального давления |
| Пиелонефрит | Лихорадка, боль в области почек, рвота, потеря аппетита, частое и болезненное мочеиспускание, кровь в моче | Антибиотики, противовоспалительные препараты, инфузионная терапия |
| Уретрит | Частое и болезненное мочеиспускание, кровь в моче, вылизывание области гениталий, беспокойство | Антибиотики, противовоспалительные препараты, спазмолитики |
| Опухоли мочеполовой системы | Затрудненное мочеиспускание, кровь в моче, боль, потеря веса, апатия, увеличение живота | Хирургическое удаление опухоли, химиотерапия, лучевая терапия |
Интересные факты
Вот несколько интересных фактов о заболеваниях мочеполовой системы у кошек:
-
Синдром обструкции мочевых путей: У кошек, особенно у кастрированных самцов, часто наблюдается синдром обструкции мочевых путей, который может быть вызван образованием кристаллов или камней в мочевом пузыре. Это состояние требует немедленного ветеринарного вмешательства, так как может привести к серьезным осложнениям и даже смерти.
-
Стресс как фактор риска: Стресс играет значительную роль в развитии заболеваний мочеполовой системы у кошек. Изменения в окружающей среде, такие как переезд, появление нового животного или изменение распорядка дня, могут привести к развитию цистита или других проблем с мочевым пузырем.
-
Клинические проявления: Симптомы заболеваний мочеполовой системы у кошек могут быть неочевидными и включать частое мочеиспускание, кровь в моче, болезненные позывы к мочеиспусканию и даже поведение, связанное с попытками найти место для мочеиспускания. Владельцы должны быть внимательны к таким изменениям, так как они могут указывать на серьезные проблемы со здоровьем.
https://youtube.com/watch?v=eUOlWCmf57Y
Причины появления коккобацилл
Заражение кокковой микрофлорой происходит в основном через половые контакты, и главной причиной её появления в организме является незащищённый секс.
Причины появления коккобацилл:
- Непостоянство в половых связях у женщин может привести к нарушению баланса микрофлоры, что способствует активному размножению патогенных бактерий.
- Неправильное выполнение процедуры спринцевания может вымывать полезные микроорганизмы.
- Частое использование ежедневных прокладок.
- Ношение нижнего белья из синтетических тканей.
- Игнорирование правил личной гигиены.
- Наличие диабета.
- Установка внутриматочной спирали, что часто становится причиной дисбаланса микрофлоры влагалища.
- Изменения в гормональном фоне, например, во время беременности или климакса, могут способствовать росту коккобацилл.
- Приём оральных контрацептивов и длительное использование антибиотиков.
Коккобациллярная флора может развиваться при ослабленном иммунитете и влагалищном дисбактериозе, который часто возникает на фоне заболеваний пищеварительной системы.
Иногда сперма может препятствовать росту полезных лактобацилл, что приводит к активизации размножения патогенных бактерий.
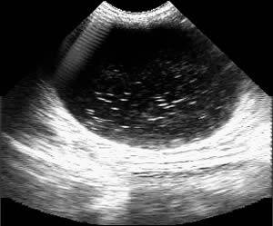
Визуализация мочевого пузыря
Мочевой пузырь – полый мышечный орган, предназначенный для скопления периодического выведения мочи. Соответственно наполненный мочевой пузырь является идеальным акустическим окном, поэтому: состояние стенок а также содержимое мочевого пузыря, имеющее диагностическое значение, может получить ультрасонографическую оценку. Диагноз «песок в мочевом пузыре» имеет право на существование – при этом визуализируются частицы 1-2 мм в диаметре (Эхограмма 2, рис. 2).
|
Эхограмма 2 |
РИС 2.А – мочевой пузырьВ – солевые частицы |
Однако «песок в мочевом пузыре» необходимо дифференцировать от воспалительной взвеси и это возможно сделать изменив положение животного. Вы увидите, что воспалительная взвесь, оседая в наиболее низко расположенных отделах, не дает акустической тени и имеет вид слизистого осадка или хлопьевидных мало подвижных сгустков. (Эхограмма 3,4, рис. 3,4).
| Эхограмма 3 |
РИС 3. |
| Эхограмма 4 |
РИС 4. |
Песок, представленный даже тонким слоем, дает акустическую тень (Эхограмма 5, рис 5).
|
Эхограмма 5 |
РИС 5. |
Конкременты в мочевом пузыре визуализируются в виде гиперэхогенных смещаемых структур с выраженной акустической тенью. Наиболее часто визуализируются верхушки конкрементов в виде выпуклой гиперэхогенной линии (Эхограммы 6,7, рис. 6,7).
| Эхограмма 6 |
РИС 6. |
| Эхограмма 7 |
РИС 7. |
Наполнение толстой кишки изменяет форму мочевого пузыря, а ее содержимое, как бы впячиваясь в полость пузыря, отбрасывает дистальную тень, и тем самым провоцирует возникновение артефакта – «конкремент в мочевом пузыре», поэтому в сомнительных случаях требуется повторная ультразвуковая диагностика. Острые воспалительные процессы сопровождаются, как правило, выраженным и неравномерным утолщением стенок мочевого пузыря, а также хлопьевидным осадком (Эхограмма 8).
| Эхограмма 8 |
РИС 8. |
Изменение давления на мочевой пузырь приводит к его разрыву. В этом случае с помощью ультразвуковой диагностики возможна постановка диагноза «разрыв мочевого пузыря». При этом рекомендуется провести катетеризацию животного и последующее наполнение пузыря. Неравномерное утолщение и отечность стенок (гематомы) свидетельствует о механическом воздействии на мочевой пузырь. Отсутствие его наполнения при катетеризации, наличие свободной жидкости и выход содержимого мочевого пузыря (травматические сгустки) в брюшную полость свидетельствуют о нарушении его целостности.
В настоящее время ультразвуковую диагностику при патологиях мочевого пузыря применяют в качестве скрининга определенных групп животных, которые склонны к заболеваниям мочеполовой системы, а также в качестве дифференциальной диагностики и для определения динамики процесса при проведении терапии. При этом необходимо исследовать:
- состояния стенок мочевого пузыря и его наполнение;
- наличие солевого содержимого и воспалительной взвеси в полости мочевого пузыря;
- наличие конкрементов;
- подвижность содержимого мочевого пузыря;
- целостность мочевого пузыря;
- наличие новообразований и расположение их относительно шейки и стенок мочевого пузыря;
- состояние шейки мочевого пузыря;
- расширение уретры.
Основные заболевания мочеполовой системы кошек и собак
Нефриты
Острый нефритСимптомы острого нефрита появляются внезапно:Хронический нефритлечения в клиникеПиелонефрит
- Острый приступ пиелонефрита вызывает у животного жар, болезненное частое мочеиспускание, потерю аппетита. Нередки случаи гибели собак и кошек от пиелонефрита при молниеносном течении заболевания.
- В остальных случаях без надлежащего лечения он постепенно переходит в постоянную форму, а затем – в нефроз или нефросклероз.
Нефрозы
Заболевания, приводящие к дистрофическим изменениям в почках у животных, обычно возникают в результате интоксикации организма. Нередко нефрозы являются осложнением нефритов.
Основные признаки нефрозов включают отеки, жажду, ограничение подвижности и цианоз.
Терапия направлена на нейтрализацию токсинов, поэтому своевременная диагностика и начало лечения имеют решающее значение.
Нефросклероз
Нередко развивается как последствие нефроза или гломерулонефрита. Поскольку в процессе заболевания ткань почек животного меняется на соединительную грубую рубцовую ткань, то сам орган сморщивается, твердеет и перестаёт выполнять свои функции. Как правило, двустороннее поражение почек при нефросклерозе ведёт к летальному исходу. Мы советуем регулярно показывать четвероногого друга ветеринару, даже если нет причин для беспокойства, сдавать анализы и делать УЗИ внутренних органов коту и собаке.
Мочекаменная болезнь, МКБ
Данный диагноз нередко ставится как собакам, так и кошкам. Структура мочевыделительной системы этих животных такова, что самцы более подвержены мочекаменной болезни по сравнению с самками.
Существует множество факторов, способствующих развитию МКБ у котов и собак:
- генетическая предрасположенность (некоторые породы кошек и собак имеют более высокий риск),
- избыточное потребление белка,
- избыточный вес,
- кормление животного продуктами эконом-класса,
- недостаток воды в рационе,
- ранняя кастрация.
Животное может начать часто мочиться небольшими порциями или вовсе прекратить справлять нужду.
Уроцистит
Это воспаление оболочки мочевого пузыря. Возникает вследствие инфицирования полости мочевого пузыря бактериями из мочеиспускательного канала, влагалища или почек.
Уроциститы бывают острыми или же хроническими.
- В первом случае снижается аппетит, появляется жар, частое и болезненное мочеиспускание, в процессе которого животное мучается и издаёт жалобные звуки.
- Во втором случае симптомы те же, но более сглажены, не столь интенсивны.
Несвоевременное лечение острой формы приводит к переходу болезни в запущенную стадию, поэтому важно как можно раньше отвезти животное к врачу, чтобы предотвратить неприятные последствия.
Пиометра
Гнойное воспаление матки. При открытой форме пиометры можно заметить выделение гноя из влагалища. Закрытая форма более опасна – внешних признаков заболевания нет, но животное, будь то кошка или собака, теряет аппетит, становится вялым, а живот увеличивается и опухает. Эти симптомы нельзя игнорировать, так как накопившийся гной может привести к разрыву матки, что вызовет перитонит и может стать фатальным для питомца.
При диагностированной пиометре необходима срочная операция: удаление матки в условиях квалифицированной ветеринарной клиники.
Эндометрит
Это воспаление слизистой оболочки матки питомца. В большинстве случаев эндометрит возникает вследствие инфицирования гноеродными микробами, особенно золотистым патогенным стафилококком.
- Острый эндометрит обычно возникает сразу после родов, проявляется в снижении аппетита животного, гноеподобных или кровянистых выделениях из влагалища, высокой температуре.
- Хронические эндометриты протекают более скрыто, иногда – бессимптомно, но они вызывают выкидыши и бесплодие.
Выводы для владельцев
Ответственный владелец животного должен осознавать, что не менее важно не только своевременно выявлять болезни у своего питомца, но и предпринимать профилактические шаги для их предотвращения. Многие недуги мочеполовой системы у собак и кошек возникают из-за недостаточного ухода за ними.
Постоянные проверки у ветеринара и незамедлительное обращение к специалисту при появлении каких-либо симптомов помогут сохранить здоровье вашего четвероногого друга на многие годы.
Цистит — воспаление мочевого пузыря
Острый цистит у людей до 50 лет относится только к женщинам. Это воспаление слизистой, иногда более глубоких слоев стенки мочевого пузыря.
Цистит
Симптомы:
- внезапное начало;
- симптомы раздражения мочевого пузыря (поллакиурия, позывы, болезненное мочеиспускание);
- боль над лобковым сочленением;
- в моче обнаруживаются эритроциты, лейкоциты и многочисленные бактерии.
У молодых женщин с дизурией обычно развивается один из трех типов инфекции: воспаление мочевого пузыря, уретры или влагалища. Эти заболевания различают на основании клинических симптомов и результатов лабораторных исследований мочи.
|
Диагноз |
Пиурия |
Гематурия |
Бактериурия |
|
Цистит |
как правило |
иногда |
От 100 до 100 тысяч |
|
Уретрит |
как правило |
редко |
до 100 |
|
Вагинит |
редко |
редко |
до 100 |
При вагините наблюдаются выделения, зуд во влагалище, боль во время полового акта, но нет поллакиурии или болезненных позывов к мочеиспусканию.
Лечение цистита следует проводить от 3 до 7 дней. При неосложненной форме эффективность 3-дневного лечения такая же, как и при 7-дневном лечении, но было обнаружено меньше побочных эффектов.
Урологи используют более длительное лечение у женщин в случае следующих условий:
- беременность, сахарный диабет;
- симптомы продолжаются более 7 дней;
- вагинальная контрацепция;
- возраст старше 65 лет.
Пути заражения
Уреаплазмоз передается преимущественно через незащищенные половые контакты. Инкубационный период составляет от одной до трех недель. Если иммунная система функционирует нормально, заболевание может долгое время находиться в организме в скрытой форме. В этом случае симптомы уреаплазмоза отсутствуют и не проявляются. Однако при возникновении благоприятных условий инфекция начинает активно развиваться, вызывая характерные проявления. К таким условиям можно отнести:
- ослабление естественной резистентности организма, например, после перенесенных вирусных или бактериальных инфекций, а также при аутоиммунных заболеваниях;
- обострение хронических заболеваний;
- наличие инфекций;
- травмы и повреждения органов мочеполовой системы;
- частые стрессы и эмоциональные нагрузки;
- резкие изменения в гормональном фоне, которые могут происходить во время беременности, после аборта, в период менопаузы или при заболеваниях эндокринной системы.
Коккобациллярная флора что это такое?
Коккобациллы смешанная форма микробов, симбиоз кокков и бацилл бывают грамположительные и грамотрицательные. Чаще всего обнаруживают таких представителей этой патогенной микрофлоры как хламидии, гарднереллы и гемофильная палочка. Паразиты передаются половым путём, большое количество их свидетельствует о наличии венерического заболевания.
Как выглядят коккобациллы? Кокки похожи на палочки, бациллы на шары. Поскольку коккобациллы сочетают в себе свойства кокков и бацилл, их форма похожа на вытянутый шар.
В небольшом количестве коккобациллы могут присутствовать во влагалищной микрофлоре, их активный рост начинается при нарушении баланса бактерий. Иногда на фоне лечения половых инфекций антибиотиками нарушается баланс влагалищной микрофлоры, что приводит к активному росту коккобацилл.
Меры предупреждения
Заболевания мочеполовой системы у мужчин являются довольно распространенной проблемой, поэтому регулярная профилактика играет важную роль в снижении риска инфекций.
Следует придерживаться ряда рекомендаций, чтобы минимизировать вероятность заражения. Ключевыми аспектами являются соблюдение гигиенических норм, безопасные половые отношения и поддержание крепкого иммунитета.
- устранять источники хронических инфекций по мере их появления;
- обращаться к врачу при первых симптомах инфекции;
- лечить аномалии строения мочевыводящих органов и удалять образовавшиеся камни;
- если у вас есть постоянный партнер, проводить совместную профилактику инфекций;
- избегать переохлаждения организма;
- следить за своим рационом, отдавая предпочтение полезным продуктам, которые не нарушают работу кишечника;
- отказаться от вредных привычек;
- использовать средства защиты во время половых актов;
- заниматься спортом и вести активный образ жизни;
- регулярно проводить гигиенические процедуры, подмывая половые органы с использованием специальных средств или травяных отваров.
Следуя этим рекомендациям, мужчина сможет значительно снизить риск инфекционного заражения. Эти меры также способствуют более эффективному лечению и помогают избежать осложнений. Основной профилактической мерой остается контроль за состоянием иммунной системы, так как ее ослабление может привести к проникновению инфекций в мочевыводящие пути.
Какая роль инфекций мочеполовой системы в появлении крови при мочеиспускании у женщин?
Инфекции мочеполовой системы могут быть вызваны неспецифической флорой и специфическими возбудителями, которые передаются половым путем. Возбудители гонореи, трихомониаза, хламидиоза, урогенитальных микоплазмозов, вирусов герпеса и папилломы человека (ВПЧ) передаются при интимных контактах и могут вызывать воспаление и половых органов женщины, и мочевыводящих путей.
Уретрит и цистит, воспаление влагалища (кольпит) и шейки матки (цервицит) – наиболее частые очаги специфического воспаления.
ИППП у женщин не так часто вызывают появление кровяных примесей при мочеиспускании, как у мужчин. Если инфекция протекает настолько активно, что при воспалении влагалища или шейки матки формируется нарушение целостности слизистых, то появление малых примесей крови в моче возможно.
Остроконечные кондиломы – проявление папилломавирусной инфекции, передающейся половым путем, с «излюбленной» локализацией в области наружных половых органов. В некоторых случаях кондиломы бывают множественными, часто подвергаются травматизации, сдавлению, отторжению при трении. В этих случаях возникает слабое контактное кровотечение, которое может вызвать появление крови при мочеиспускании.
Виды мочеполовых инфекций
Существует множество видов урогенитальных заболеваний. Рассмотрим наиболее распространенные из них.
Хламидиоз. Этот недуг передается половым путем, а в редких случаях — бытовым и внутриутробно (от матери к ребенку). Симптомы могут включать отек слизистых и обильные выделения из половых органов, вплоть до гнойных, но иногда заболевание протекает бессимптомно, и единственным способом его выявления является лабораторное исследование.
Гонорея. Инфекция передается половым путем и проявляется обильными выделениями из влагалища, которые могут иметь неприятный запах. Однако также возможно бессимптомное течение.
Трихомониаз. Основной путь передачи — незащищенный половой акт, но существует вероятность заражения и бытовым путем. В начальной стадии болезнь может не проявляться, но позже у мужчин симптомы возникают быстрее, чем у женщин. У мужчин это болезненные мочеиспускания, у женщин — зуд и пенистые выделения.
Микоплазмоз. Этот недуг чаще встречается у женщин, чем у мужчин. Основной способ передачи — половой контакт без защиты с носителем инфекции. Также возможно заражение во время родов от матери к ребенку. Микоплазмоз может протекать бессимптомно или проявляться выделениями и болями в области половых органов.
Вирус папилломы человека. Этот вирус распространен как среди женщин, так и среди мужчин. Он передается при половых контактах и бытовым путем. Может проявляться образованием новообразований (папиллом) на коже и слизистых, но также может протекать бессимптомно. Высокоонкогенные типы вируса являются основным фактором, способствующим развитию рака шейки матки.
Вирус герпеса. Передается как половым, так и контактным путем, поражая слизистые и кожу, проявляется в виде пузырьковых высыпаний. При первичном заражении могут наблюдаться общее недомогание и повышение температуры.
Цитомегаловирус. Это широко распространенный вирус из семейства герпетических инфекций. Он передается через слюну, кровь и сперму. Симптомы инфекции могут быть неспецифическими (жар, головная боль, слабость, увеличение лимфоузлов) и проявляются при ослаблении иммунной системы. Особенно опасно первичное заражение во время беременности.
Кандидоз (или “молочница”). Возбудителем является условно-патогенный грибок Кандида. Хотя это заболевание чаще встречается у женщин, оно также может проявляться и у мужчин. Передача возможна половым путем, но кандидоз может быть и симптомом дисбактериоза. Основные признаки включают зуд, жжение в половых органах и творожистые выделения.
Уреаплазмоз. Это заболевание также относится к условно-патогенной флоре и может встречаться у здоровых людей. Однако при увеличении титра и наличии воспалительного процесса требуется лечение. Уреаплазмоз чаще встречается у молодежи, особенно у девушек. Инфекция передается через незащищенный половой акт и может вызывать воспаление в мочевыводящих путях. Симптомы могут отсутствовать или проявляться болями, зудом при мочеиспускании и неприятными выделениями.
Бактериальный вагиноз. Это заболевание чаще всего встречается у женщин репродуктивного возраста, хотя мужчины могут быть носителями инфекции. Оно не является венерическим. Возбудители, входящие в состав естественной микрофлоры влагалища, начинают проявляться при воздействии определенных факторов (снижение иммунитета, дисбактериоз, гормональные изменения и др.). Симптомы включают зуд и жжение в половых органах, неприятно пахнущие выделения и рези при мочеиспускании.
Также существует термин “ХУГИ” (хроническая урогенитальная инфекция), который объединяет различные мочеполовые инфекции. ХУГИ может привести к таким заболеваниям, как хронический цистит, аднексит, простатит, пиелонефрит, а также вызывать их регулярные рецидивы, что может привести к бесплодию как у мужчин, так и у женщин.
Признаки инфекций мочеполовой системы
К распространенным симптомам урогенитальных инфекций относятся:
- расстройства мочеиспускания (учащенное, затрудненное, сопровождающееся жжением, резями, зудом);
- боль, неприятные ощущения внизу живота;
- нетипичные выделения из уретры;
- нетипичные выделения из влагалища у женщин;
- покраснения, налет, пузырьки, эрозии и т.д. на наружных половых органах.
Как мы уже упоминали, многие ИППП зачастую долгое время протекают бессимптомно. При таком положении дел поводом пройти срочную диагностику урогенитальных инфекций должен стать сам факт незащищенного сексуального контакта со случайным партнером или бытового контакта с человеком, чей инфекционный статус вызывает разумные опасения.
Первая помощь животному
Если ваша кошка испытывает трудности с мочеиспусканием, как можно помочь ей? Часто владельцы, столкнувшись с этой проблемой, обращаются в зоомагазины или ветеринарные аптеки, где им рекомендуют препараты, такие как “Стоп-цистит” или “Котэрвин”. Эти средства могут облегчить боль и воспаление на ранних стадиях заболевания мочевыводящих путей, однако самолечение может привести к серьезным последствиям, вплоть до летального исхода.
При появлении симптомов затрудненного мочеиспускания, небольших порций мочи или наличия крови в лотке, необходимо немедленно обратиться к ветеринару. Важно помнить, что задержка мочи более суток представляет собой опасное состояние для жизни вашего питомца и может закончиться трагически.
Катетеризация
В условиях клиники ветеринарный специалист может провести ручной массаж мочевого пузыря. Иногда этого бывает достаточно, чтобы удалить песчаную пробку. Если массаж не дал результатов, то врач проводит катетеризацию. Эта процедура является единственно возможной для выведения мочи из мочевого пузыря и спасения жизни животному. Проводиться манипуляция ветеринарным специалистом может и на дому, но лучше это делать в специализированном учреждении. Перед процедурой животному дают наркоз, а при противопоказаниях – седативные препараты.
https://youtube.com/watch?v=XjL92mkjJ2g
Консервативное лечение
Независимо от причин, вызвавших затруднения при мочеиспускании, животным для облегчения болевого синдрома назначаются обезболивающие средства. В более серьезных ситуациях может быть использована новокаиновая блокада. Эффективным решением также является применение но-шпы и других спазмолитиков в виде инъекций. После устранения боли и снятия спазма лечение будет сосредоточено на устранении основной причины заболевания. При мочекаменной болезни назначаются противовоспалительные препараты, антибиотики, средства для растворения солевых образований, витамины, спазмолитики и анальгетики.
Важно уделить особое внимание диете.
При цистите и уретрите лечение будет схожим, за исключением препаратов, направленных на растворение камней.
Оперативное вмешательство
К сожалению, консервативное лечение цистита, мочекаменной болезни и других патологий мочевыводящей системы не всегда эффективно. В таком случае ветеринарные специалисты рекомендуют проведение операции. При обнаружении камней в мочевом пузыре показана полостная цистотомия, а при их локализации в уретре проводят преанальную уретростомию.
Если причиной патологии мочеиспускания является стерилизация, то вопрос, что делать, чтобы кошка пописала после операции, отнюдь не праздный. При послеоперационном осложнении животное лучше показать ветеринарному врачу. Он назначит соответствующее лечение, опорожнит мочевой пузырь с помощью массажа или катетеризации.
Если владелец заметил, что у питомца проблемы с мочеиспусканием, не стоит заниматься самолечением. Животное следует незамедлительно показать ветеринарному специалисту, так как переполненный мочевой пузырь является угрожающим состоянием для здоровья и жизни домашнего любимца.
Инфекции мочевыводящих путей
Уретрит — это воспаление мочевыводящих путей, которое затрагивает мочеиспускательный канал. Основные симптомы уретрита проявляются в виде боли и жжения при мочеиспускании, а также, в зависимости от типа возбудителя, могут наблюдаться аномальные выделения из уретры. Одним из осложнений уретрита является распространение воспалительного процесса на внутренние органы; у женщин это может привести к острому циститу. Лечение назначается врачом на основании причин, вызвавших инфекцию мочевыводящих путей. При недостаточной терапии возможно сужение или образование спаек в мочевыводящем канале, что может потребовать хирургического вмешательства.
Цистит представляет собой воспалительный процесс в мочевом пузыре. Эта болезнь чаще всего диагностируется у женщин из-за их анатомических особенностей. Симптомы инфекции мочевыводящих путей проявляются в виде резкой боли в нижней части живота, нарушений мочеиспускания и наличия крови в моче. Симптоматика возникает внезапно и может сопровождаться повышением температуры, рвотой и тошнотой. Лечение неосложненного цистита обычно включает 7-дневный курс антибактериальной терапии, и состояние пациента начинает улучшаться уже с первого дня лечения. Если инфекция в мочевом пузыре не исчезает после завершения курса, может потребоваться изменение препаратов. Для беременных женщин разрабатываются индивидуальные схемы лечения.
Пиелонефрит — это воспаление и инфекция почек. Инфекции мочевыводящих путей могут привести к пиелонефриту, который является его осложненной формой. Симптомы пиелонефрита включают ноющую боль в поясничной области, повышение температуры, тошноту и рвоту. При хронической форме заболевания симптомы могут отсутствовать в период обострений. Лечение пиелонефрита включает диагностику и назначение антибактериальной терапии, а также восстановление нормального мочеиспускания и дальнейшую профилактику.
Бессимптомная бактериурия. Инфекции мочевыводящих путей характеризуются наличием бактерий-возбудителей. Однако большое количество бактерий в моче указывает на патологический процесс. Бактериурия чаще всего диагностируется у беременных женщин и пожилых людей. Протекание болезни может не сопровождаться ярко выраженными симптомами. Лечение включает прием антибактериальной терапии с учетом резистентности обнаруженных бактерий.
Профилактика заболеваний мочеполовой системы
Воспалительные заболевания мочеполовой системы у взрослых зависят от многочисленных факторов: окружающая среда, образ жизни, наличие беременности у женщин, воспалительные заболевания в организме, лечение с манипуляциями в мочеполовой системе, такими как катетеризация, а также сопутствующие хронические болезни и сахарный диабет. Такие заболевания требуют мер профилактики особенно в холодное время года, так как воспалительные процессы развиваются на фоне переохлаждения.
Воспалительные заболевания мочеполовой сферы также являются результатом неправильного водного баланса и нарушением оттока мочи. Задержка мочи является причиной развития инфекции мочевыводящих путей.
Также инфекции активно развиваются при неправильной гигиене. Перенос бактерий-возбудителей из заднего прохода в уретру является частой причиной появления инфекции мочевыводящих путей у женщин. Незащищенный половой акт также может стать причиной развития инфекции мочевыводящих путей особенно у мужчин.
Воспалительные заболевания мочеполовой сферы подвергаются профилактическим воздействием веществ, содержащихся в клюкве. Поэтому для предотвращения инфекции возможно употребление сухих ягод клюквы, сока из ягод клюквы или морс. Воспалительные заболевания мочеполовой системы и инфекции нижних мочевыводящих путей имеет свойство рецидива
Для профилактики рецидива важно своевременное лечение урологических и гинекологических заболеваний. А также своевременная коррекция анатомических особенностей организма
Какие болезни почек и мочевыводящих путей могут привести к появлению крови при мочеиспускании?
Существует множество факторов, способствующих появлению крови в моче. Давайте рассмотрим их более подробно.
Цистит
Цистит (воспаление мочевого пузыря) – наиболее частая причина гематурии у женщин. При этом появление крови возникает чаще в конце мочеиспускания, сопровождается болью в нижней части живота. При цистите позывы к мочеиспусканию учащаются, моча выделяется малыми порциями.
Цистит может вызывать неспецифическая флора (кишечные палочки, стафилококки, стрептококки, энтерококки и другие) и возбудители половых инфекций. Чаще микроорганизмы попадают в орган «снизу вверх» (через мочеиспускательный канал): это связано с анатомическими особенностями женской уретры (короткая и относительно широкая). Возможно попадание инфекции в мочевой пузырь с током крови и лимфы при воспалительных процессах в других органах, а также с мочой из почек или мочеточников.
Уретрит
Уретрит представляет собой воспалительный процесс в мочеиспускательном канале. У женщин это состояние редко вызывает наличие крови в моче. Основные симптомы включают жжение и дискомфорт во время мочеиспускания. Уретрит может быть следствием половых инфекций, таких как гонорея, хламидиоз и генитальный герпес. Кроме того, данное заболевание может развиваться при высокой концентрации различных солей и кислот в моче, что приводит к их кристаллизации и образованию «песка». В таких случаях слизистая оболочка уретры может раздражаться, что иногда приводит к появлению небольших количеств крови в моче.
Заболевания наружных половых органов
Различные заболевания наружных половых органов женщины – воспалительные, онкологические, особенно с формированием дефектов кожи наружных половых губ и слизистой входа во влагалище в виде язвочек и эрозий, трещин – еще одна причина. При этом в моче может появляться примесь крови в небольших количествах или регистрироваться микрогематурия – наличие эритроцитов в ОАМ.
Попадание урины на область вульвы или промежности в этих случаях сопровождается временным жжением и дискомфортом.
Мочекаменная болезнь
Мочекаменная болезнь представляет собой расстройство обмена веществ, которое сопровождается образованием камней в почках или мочевыводящих путях. К факторам, способствующим развитию МКБ, относятся наследственные нарушения обмена веществ, состав воды в конкретном регионе, а также неправильный режим питья и питания.
Кровь в моче может появляться после приступа почечной колики, когда камень перемещается по мочеточникам или уретре, вызывая повреждение слизистых оболочек. Это состояние сопровождается сильной болью в поясничной области или внизу живота, частыми позывами к мочеиспусканию, а также ухудшением общего самочувствия, проявляющимся в виде тошноты и возможной рвоты.
Женщина, испытывающая приступ почечной колики, обычно ведет себя беспокойно и нуждается в обезболивании. Часто на фоне мочекаменной болезни может развиться пиелонефрит — воспаление почек и лоханок, которое может распространяться на мочеточники. Для пиелонефрита характерны повышение температуры и боль в пояснице с пораженной стороны.
Важно отметить, что до определенного момента камни могут не проявлять себя. В таких случаях отсутствует болевой синдром, кровь при мочеиспускании не наблюдается, а патология не определяется в анализах мочи.
Гломерулонефрит
Гломерулонефрит – тяжелое заболевание, которое вызвано поражением структур почек, обеспечивающих фильтрацию крови. Цвет мочи обычно при этой патологии розово-красный, болезненности при мочеиспускании нет. Сопровождается выраженным повышением артериального давления, формированием отеков лица и конечностей.
Причинами гломерулонефрита могут быть переохлаждения, инфекции горла, скарлатина, аутоиммунные заболевания.
Злокачественные опухоли
Злокачественные новообразования в почках, мочеточниках и мочевом пузыре могут стать причиной появления гематурии. Обычно они не сопровождаются болевыми ощущениями или дискомфортом при мочеиспускании. В таких ситуациях может наблюдаться снижение уровня гемоглобина, что приводит к общей слабости, повышенной сонливости, а также бледности кожи и слизистых оболочек.
Доброкачественные опухоли
Доброкачественные опухоли в виде «полипов» мочеиспускательного канала или мочевого пузыря – еще одна причина. При нарушении кровообращения в области полипов, их травматизации тоже возможна примесь крови в урине.
После цистоскопии
После проведения диагностической процедуры, направленной на визуализацию слизистых оболочек уретры и мочевого пузыря с использованием специализированного оборудования, может наблюдаться наличие крови в моче. Это обусловлено тем, что цистоскопия может привести к повреждению слизистых тканей.
Данная манипуляция назначается исключительно в тех случаях, когда другие методы диагностики не позволяют установить точный диагноз.
Роль питания в профилактике заболеваний мочеполовой системы
Питание играет ключевую роль в поддержании здоровья мочеполовой системы кошек. Правильный рацион может значительно снизить риск развития различных заболеваний, таких как мочекаменная болезнь, инфекции мочевыводящих путей и другие патологии. Важно понимать, что кошки имеют специфические потребности в питательных веществах, и их рацион должен быть сбалансированным и разнообразным.
Одним из основных аспектов питания, влияющих на здоровье мочеполовой системы, является уровень влаги в пище. Кошки, как правило, имеют низкое чувство жажды и могут не пить достаточное количество воды, что увеличивает риск образования камней и кристаллов в моче. Поэтому рекомендуется включать в рацион влажные корма, которые содержат больше воды, чем сухие. Это помогает поддерживать нормальный уровень гидратации и способствует выведению токсинов из организма.
Кроме того, важно учитывать состав корма. Кошки являются облигатными хищниками, и их рацион должен быть богат белками животного происхождения. Белки помогают поддерживать нормальную функцию почек и способствуют образованию здоровой мочи. Однако избыток белка также может привести к образованию мочевых камней, поэтому необходимо соблюдать баланс.
Ключевыми компонентами, которые следует учитывать при выборе корма, являются:
- Минералы: Избыток кальция, магния и фосфора может способствовать образованию мочевых камней. Поэтому важно выбирать корма с оптимальным содержанием этих минералов.
- pH мочи: Некоторые корма специально разработаны для поддержания нормального уровня pH мочи, что помогает предотвратить образование кристаллов. Корма с низким содержанием магния и высоким содержанием клетчатки могут способствовать нормализации pH.
- Омега-3 и омега-6 жирные кислоты: Эти кислоты помогают поддерживать здоровье клеточных мембран и могут иметь противовоспалительное действие, что полезно при наличии воспалительных процессов в мочеполовой системе.
Также стоит обратить внимание на добавление пробиотиков и пребиотиков в рацион. Они способствуют поддержанию здоровой микрофлоры кишечника, что, в свою очередь, может положительно сказаться на общем состоянии здоровья кошки, включая мочеполовую систему.
Важно помнить, что каждый питомец уникален, и его потребности могут варьироваться в зависимости от возраста, породы, уровня активности и наличия заболеваний. Поэтому перед внесением изменений в рацион рекомендуется проконсультироваться с ветеринаром, который поможет подобрать оптимальное питание для вашей кошки, учитывая все индивидуальные особенности.
Вопрос-ответ
Как узнать, есть ли у моей кошки инфекция мочевыводящих путей?
Хотя заболевания мочевыводящих путей у кошек встречаются часто, инфекции мочевыводящих путей (ИМП) встречаются довольно редко. Кошки с ИМП часто пытаются мочиться, могут выделять лишь небольшое количество мочи, испытывают трудности при мочеиспускании, а также могут плакать или скулить во время мочеиспускания. Иногда в моче может быть видна кровь.
Как понять, что есть заболевание мочеполовой системы?
Основные симптомы заболеваний мочеполовой системы: покраснение и жжение покровов половых органов, боли в промежности, прерывистое мочеиспускание, изменение цвета мочи, появление в ней кровяных сгустков.
Советы
СОВЕТ №1
Регулярно наблюдайте за поведением вашей кошки. Обратите внимание на изменения в частоте мочеиспускания, наличие крови в моче или трудности при мочеиспускании. Эти симптомы могут указывать на проблемы с мочеполовой системой и требуют немедленного обращения к ветеринару.
СОВЕТ №2
Обеспечьте вашей кошке доступ к свежей воде и сбалансированному питанию. Увлажненная пища и достаточное количество воды помогают предотвратить образование камней в мочевом пузыре и другие заболевания мочеполовой системы.
СОВЕТ №3
Регулярно проводите профилактические осмотры у ветеринара. Это поможет выявить возможные заболевания на ранних стадиях и предотвратить серьезные проблемы со здоровьем вашей кошки.
СОВЕТ №4
Следите за чистотой туалета вашей кошки. Регулярная уборка и использование качественного наполнителя помогут избежать стресса у питомца и снизят риск развития инфекций мочеполовой системы.
Питание играет ключевую роль в поддержании здоровья мочеполовой системы кошек. Правильный рацион может значительно снизить риск развития различных заболеваний, таких как мочекаменная болезнь, инфекции мочевыводящих путей и другие патологии. Важно понимать, что кошки имеют специфические потребности в питательных веществах, и их рацион должен быть сбалансированным и разнообразным.
Одним из основных аспектов питания, влияющих на здоровье мочеполовой системы, является уровень влаги в пище. Кошки, как правило, имеют низкое чувство жажды и могут не пить достаточное количество воды, что увеличивает риск образования камней и кристаллов в моче. Поэтому рекомендуется включать в рацион влажные корма, которые содержат больше воды, чем сухие. Это помогает поддерживать нормальный уровень гидратации и способствует выведению токсинов из организма.
Кроме того, важно учитывать состав корма. Кошки являются облигатными хищниками, и их рацион должен быть богат белками животного происхождения. Белки помогают поддерживать нормальную функцию почек и способствуют образованию здоровой мочи. Однако избыток белка также может привести к образованию мочевых камней, поэтому необходимо соблюдать баланс.
Ключевыми компонентами, которые следует учитывать при выборе корма, являются:
- Минералы: Избыток кальция, магния и фосфора может способствовать образованию мочевых камней. Поэтому важно выбирать корма с оптимальным содержанием этих минералов.
- pH мочи: Некоторые корма специально разработаны для поддержания нормального уровня pH мочи, что помогает предотвратить образование кристаллов. Корма с низким содержанием магния и высоким содержанием клетчатки могут способствовать нормализации pH.
- Омега-3 и омега-6 жирные кислоты: Эти кислоты помогают поддерживать здоровье клеточных мембран и могут иметь противовоспалительное действие, что полезно при наличии воспалительных процессов в мочеполовой системе.
Также стоит обратить внимание на добавление пробиотиков и пребиотиков в рацион. Они способствуют поддержанию здоровой микрофлоры кишечника, что, в свою очередь, может положительно сказаться на общем состоянии здоровья кошки, включая мочеполовую систему.
Важно помнить, что каждый питомец уникален, и его потребности могут варьироваться в зависимости от возраста, породы, уровня активности и наличия заболеваний. Поэтому перед внесением изменений в рацион рекомендуется проконсультироваться с ветеринаром, который поможет подобрать оптимальное питание для вашей кошки, учитывая все индивидуальные особенности.
Питание играет ключевую роль в поддержании здоровья мочеполовой системы кошек. Правильный рацион может значительно снизить риск развития различных заболеваний, таких как мочекаменная болезнь, инфекции мочевыводящих путей и другие патологии. Важно понимать, что кошки имеют специфические потребности в питательных веществах, и их рацион должен быть сбалансированным и разнообразным.
Одним из основных аспектов питания, влияющих на здоровье мочеполовой системы, является уровень влаги в пище. Кошки, как правило, имеют низкое чувство жажды и могут не пить достаточное количество воды, что увеличивает риск образования камней и кристаллов в моче. Поэтому рекомендуется включать в рацион влажные корма, которые содержат больше воды, чем сухие. Это помогает поддерживать нормальный уровень гидратации и способствует выведению токсинов из организма.
Кроме того, важно учитывать состав корма. Кошки являются облигатными хищниками, и их рацион должен быть богат белками животного происхождения. Белки помогают поддерживать нормальную функцию почек и способствуют образованию здоровой мочи. Однако избыток белка также может привести к образованию мочевых камней, поэтому необходимо соблюдать баланс.
Ключевыми компонентами, которые следует учитывать при выборе корма, являются:
- Минералы: Избыток кальция, магния и фосфора может способствовать образованию мочевых камней. Поэтому важно выбирать корма с оптимальным содержанием этих минералов.
- pH мочи: Некоторые корма специально разработаны для поддержания нормального уровня pH мочи, что помогает предотвратить образование кристаллов. Корма с низким содержанием магния и высоким содержанием клетчатки могут способствовать нормализации pH.
- Омега-3 и омега-6 жирные кислоты: Эти кислоты помогают поддерживать здоровье клеточных мембран и могут иметь противовоспалительное действие, что полезно при наличии воспалительных процессов в мочеполовой системе.
Также стоит обратить внимание на добавление пробиотиков и пребиотиков в рацион. Они способствуют поддержанию здоровой микрофлоры кишечника, что, в свою очередь, может положительно сказаться на общем состоянии здоровья кошки, включая мочеполовую систему.
Важно помнить, что каждый питомец уникален, и его потребности могут варьироваться в зависимости от возраста, породы, уровня активности и наличия заболеваний. Поэтому перед внесением изменений в рацион рекомендуется проконсультироваться с ветеринаром, который поможет подобрать оптимальное питание для вашей кошки, учитывая все индивидуальные особенности.




