Пироплазмоз у кошек — серьезное заболевание, вызываемое паразитами, передающимися через укусы клещей. Важно знать симптомы и методы лечения, чтобы вовремя обратиться к ветеринару и предотвратить серьезные последствия для здоровья питомца. В статье рассмотрим основные признаки пироплазмоза, его причины, а также рекомендации по диагностике и лечению, что поможет владельцам кошек защитить своих любимцев от этого опасного заболевания.
Диагностика
Диагностика заболевания начинается с проверки, был ли питомец укушен клещом. Для этого животное тщательно осматривают, выявляют наличие эктопаразитов и анализируют, откуда мог появиться клещ. Оптимальным вариантом будет, если ветеринар проведет осмотр и самостоятельно удалит паразита, но также можно принести извлеченное насекомое в клинику. Иксодовые клещи имеют характерную форму, напоминающую небольших пауков или крабов, и быстро увеличиваются в размерах после того, как выпьют кровь. После этого насекомое отправляют на анализ, чтобы избежать лишних процедур для питомца.
Хотя пироплазмоз можно заподозрить по общей клинической картине, для точного диагноза ветеринар может назначить ряд анализов.
Важно рассмотреть все возможные варианты и, учитывая финансовые возможности, провести комплексное обследование:
- Общий и биохимический анализ крови (мазок из уха или лапы);
- Серологическое исследование (анализ антител в сыворотке крови для оценки работы иммунной системы);
- Общий анализ мочи с проверкой на содержание гемоглобина;
- Диагностика по схеме дифференциации (исключение симптомов).
Анализы не всегда дают точные результаты, особенно при скрытом течении заболевания.
Поэтому важно повторять исследования. После начала лечения анализ крови должен стать ключевой процедурой в клинике, чтобы предотвратить анемию, недостаточность или развитие пироплазмоза. По завершении терапии анализ должен подтвердить окончание лечения, и если результаты отрицательные, специалист переходит к этапу восстановления.
Пироплазмоз у кошек представляет собой серьезное заболевание, вызванное паразитами, передающимися через укусы клещей. Эксперты подчеркивают, что ранняя диагностика и лечение играют ключевую роль в успешной борьбе с этой инфекцией. Основные симптомы включают в себя лихорадку, вялость, потерю аппетита и анемию, что может привести к серьезным осложнениям, если не предпринять меры вовремя. Врачами рекомендовано проводить регулярные профилактические осмотры и использовать средства защиты от клещей. Лечение обычно включает в себя применение специфических противопаразитарных препаратов и поддерживающую терапию. Важно помнить, что при первых признаках заболевания необходимо незамедлительно обратиться к ветеринару, чтобы избежать тяжелых последствий для здоровья питомца.
https://youtube.com/watch?v=i-g-Gn9rnmQ
Общий анализ крови при пироплазмозе
Подобный анализ крови проводится в случае, если ветеринар подозревает наличие инфекционного или вирусного возбудителя в крови питомца. Техника его исполнения проста: образец берется из лапы или уха и проверяется человеком. Определяется уровень содержания и активности бабезий и пироплазмов. Высокой точности помогает добиться анализ количества эритроцитов, ведь при заболевании их численность значительно снижается, а гемоглобин трансформируется в билирубин.
Определить заболевание позволяют и другие показатели:
- Увеличение активности лактатдегидрогеназы (что вызывает интоксикацию);
- Снижение выработки холинэстераза (на 25% по сравнению со здоровыми животными);
- Повышение мочевины в сыворотке крови;
- Повышение уровня кератина.
В зависимости от полноты получения сведений выделяют полный и сокращенный анализы крови. Их стоимость будет различаться, рекомендуют посоветовать с ветеринаром, какая из процедур более точный результат. Средняя стоимость подобного анализа – 330-650 рублей.
| Категория | Симптомы | Лечение |
|---|---|---|
| Ранние симптомы (1-3 дня после укуса) | Вялость, апатия, снижение аппетита, повышение температуры тела (до 40-41°C), бледность слизистых оболочек (десны, конъюнктива), учащенное дыхание и сердцебиение. | Срочное обращение к ветеринару! Введение специфических противопаразитарных препаратов (например, имидокарб) под контролем врача. |
| Поздние симптомы (3-7 дней и более) | Желтушность слизистых оболочек и кожи, темная моча (цвета пива или кофе), рвота, диарея (иногда с кровью), увеличение лимфатических узлов, болезненность при пальпации живота, судороги, кома. | Интенсивная терапия в условиях стационара: капельницы для поддержания водного баланса и детоксикации, препараты для поддержания работы почек и печени, переливание крови (при тяжелой анемии), антибиотики для профилактики вторичных инфекций. |
| Профилактика | Регулярная обработка кошки от клещей (капли на холку, спреи, ошейники), осмотр животного после прогулок, избегание мест с большим скоплением клещей (высокая трава, кустарники). | Не существует специфического лечения для профилактики после укуса. Только своевременная обработка и внимательность владельца. |
Интересные факты
Вот несколько интересных фактов о пироплазмозе у кошек:
-
Причина заболевания: Пироплазмоз вызывается простейшими паразитами рода Babesia, которые передаются через укусы клещей. Эти паразиты проникают в красные кровяные клетки кошки, что приводит к их разрушению и, как следствие, к анемии.
-
Симптомы и диагностика: Симптомы пироплазмоза могут варьироваться от легкой усталости и потери аппетита до серьезных состояний, таких как желтуха, высокая температура и рвота. Диагностика обычно включает анализ крови, который позволяет выявить наличие паразитов.
-
Лечение и профилактика: Лечение пироплазмоза включает использование специфических противопростейных препаратов, таких как атовакант и имидокарб. Профилактика заболевания заключается в регулярной обработке кошек от клещей и избегании прогулок в местах с высокой активностью этих паразитов, особенно в теплое время года.
Лечение пироплазмоза у кошек
Следует сразу подчеркнуть, что терапия пироплазмоза у кошек представляет собой процесс, который требует значительного времени и усилий. Основная сложность заключается в том, что препараты, применяемые для лечения, обладают высокой токсичностью и могут негативно воздействовать на печень и выделительную систему питомца.
Помощь в домашних условиях
Самая первая помощь в домашних условиях должна заключаться в немедленном обращении к ветеринарному врачу. Более ничего существенного самостоятельно сделать все равно нельзя.
Но все же облегчить состояние питомца реально:
Необходимо обеспечить коту полный покой. Никаких стрессов, никаких игр с детьми.
Так как есть больной питомец (скорее всего) не будет, но будет испытывать сильную жажду, ему необходим неограниченный доступ к чистой питьевой воде. Содержимое «водяной» миски следует менять как можно чаще.
Если питомец все же проявляет интерес к пище, ему дают лишь легкие и хорошо усвояемые корма. Рекомендуем использовать специальные рационы для больных кошек. Сухой пищей в это время кормить настоятельно не рекомендуется.
Препараты
Вот основные медикаменты, которые применяются для лечения данной болезни:
Главным средством является Имидосан. Это мощное и эффективное лекарство, однако оно имеет ряд серьезных побочных эффектов. В частности, его введение может быть настолько болезненным, что перед процедурой рекомендуется давать животному седативные и обезболивающие препараты.
- Аналогом вышеупомянутого лекарства является Пиро-Стоп. Этот препарат также считается довольно «тяжелым».
- Азадин и Гемоспоридин.
Поскольку все перечисленные средства могут негативно влиять на печень животного, для снижения побочных эффектов рекомендуется использовать гепатопротекторы, такие как Эссенциале-Форте и другие. Кроме того, для устранения интоксикации и облегчения ее последствий применяются растворы глюкозы, раствор Рингера и подобные препараты.
Народные средства
Как таковые, народные средства для лечения этой болезни отсутствуют. Пользоваться «умными» советами с сайтов народной медицины мы не советуем. Так легко можно затянуть и ухудшить течение болезни, вследствие чего кот или умрет, или же останется инвалидам. Владельцам нужно помнить о том, что пироплазмам никак не повредят «припарки» и прочие примитивные методы лечения.
Диета при лечении
Кормление кошки, страдающей от бабезиоза, лучше всего осуществлять с использованием жидкой пищи, а также значительно увеличить количество жидкости, которую она потребляет ежедневно. Это поможет создать мочегонный эффект, что, в свою очередь, поспособствует более быстрому избавлению от симптомов интоксикации.
Рацион питомца, который перенёс пироплазмоз, особенно если это котёнок, должен быть ориентирован на восстановление иммунной системы животного. Поэтому питание должно быть сбалансированным, калорийным и разнообразным. Также важно не забывать о необходимости повышения уровня гемоглобина, который значительно снижается из-за болезни.
Кормление кошки, выздоровевшей от пироплазмоза, должно быть тщательно сбалансировано и обязательно включать сырое мясо.
Важно! В рацион вашего пушистого друга обязательно должны входить сырое мясо, печень, молочные продукты, а также препараты железа.
Пироплазмоз у кошек – это реально: симптомы и лечение
Заболевание пироплазмоз хорошо знакомо владельцам собак. Пироплазмоз у кошек не описан ни в научной литературе, ни в ветеринарных учебниках и справочниках. Откуда же берутся разговоры по этому поводу, есть ли основания для обсуждения данной темы?
Могут ли кошки заболеть пироплазмозом?
Большинство ветеринаров с уверенностью ответят на этот вопрос: кошки не подвержены пироплазмозу. Они имеют в виду, что ни в теории, ни на практике не сталкивались с этим заболеванием у домашних кошек.
Тем не менее, вопрос не возник на пустом месте. В России зарегистрировано несколько случаев, всего около двадцати за последние десять лет, когда ветеринарные специалисты сообщали о нахождении возбудителя пироплазмоза в крови у кошек. Эти исследования проводились на животных с симптомами, характерными для пироплазмоза у различных видов.
Сложно сказать, насколько это соответствует действительности. Эти случаи не подвергались серьезному научному анализу, и подобные факты не были должным образом задокументированы.
Пироплазмоз наблюдается у крупных диких хищников из семейства кошачьих. Первые упоминания о заболевании у диких кошек появились в конце XX века, когда был выявлен и описан ранее неизвестный возбудитель пироплазмоза, получивший название Babesia felis. Переносчиком этого возбудителя является иксоидный клещ Haemophysalis leachi. Заболеванию подвержены львы, тигры и другие виды крупных диких кошек.
Существуют данные о выявлении этого возбудителя у домашних кошек в таких странах, как Таиланд, Франция, Зимбабве и Израиль. В России, как уже упоминалось, зарегистрировано около двадцати случаев, когда ветеринары сообщали о пироплазмозе у кошек, однако здесь велика вероятность диагностической ошибки.
Возбудитель попадает в организм животных через укусы иксоидных клещей, причем каждый вид животных имеет своего специфического переносчика. В нашей стране у кошек наиболее вероятным переносчиком может быть иксоидный клещ Rhipicephalus sanguineus.
Что происходит после укуса?
Иксоидные клещи промежуточные хозяева, для паразитических простейших, семейства пироплазм. В организме клеща, пироплазмы проходят часть своего цикла развития.
https://youtube.com/watch?v=1CMHBmZv_eQ
Возбудитель пироплазмоза попадает в кровь животного, при укусе, со слюной клеща, и начинает интенсивно размножаться в эритроцитах крови.
Эритроциты массово погибают, высвобождая гемоглобин. Гемоглобин частично удаляется с мочой, окрашивая её в красный цвет, частично превращается в билирубин, в результате наблюдается желтизна слизистых оболочек и глаз.
В крови и тканях накапливаются токсические продукты, нарушается обмен веществ, возникают воспалительные и дистрофические процессы в селезёнке, печени и почках. Развивается острая недостаточность почек.
Как понять, что кошка больна пироплазмозом?
Заболевание, как правило, проявляется в острой форме, что сопровождается стремительным развитием и выраженностью всех признаков:
- Температура тела у кошек может повышаться до 41-42°C;
- Одышка. Дыхание становится учащённым и затруднённым;
- Наблюдается желтушность слизистых оболочек и белков глаз;
-
Моча меняет цвет на красный, с различной интенсивностью, вплоть до коричневого;
-
Животное выглядит угнетённым, теряет аппетит, могут возникать понос и рвота;
- У питомца отмечается мышечная слабость, неустойчивая походка, а также слабость задней части тела, возможно развитие пареза задних конечностей.
В редких случаях заболевание может протекать более медленно и менее выраженно – в подострой или хронической форме. В этом случае симптомы менее заметны, а некоторые из них могут вовсе отсутствовать. Характерными признаками являются анемия и постепенное истощение организма.
Постановка диагноза
Предварительная диагностика основана на наличии специфических клинических признаков и подтверждается лабораторными исследованиями.
Для постановки диагноза пользуются лабораторными методами:
- Микроскопии;
- Серологического исследования сыворотки крови;
- ПЦР.
Решающее значение имеет микроскопическое исследование мазков крови, с окрашиванием по Романовскому и серологическое исследование. Реакция ПЦР помогает идентификации возбудителя, и уточняет результаты остальных исследований. Общий анализ крови показывает характерные для данного заболевания изменения состава.
Лечение пироплазмоза у собак в домашних условиях
Как лечить пироплазмоз у собаки – на этот вопрос ответит ветеринар после осмотра. Существуют различные схемы терапии. Если нет возможности быстро доставить питомца в клинику, можно дать антипаразитарное средство, а затем поить теплым раствором соды для повышения pH мочи. Такой подход подходит для легкой формы заболевания.
Таблица № 1 Варианты лечения
| Первый | Второй |
| 1. Применение противопаразитарного препарата. 2. Защелачивающая терапия. 3. Дополнительное лечение. 4. Плазмаферез на 2 сутки. Дальнейшая терапия зависит от состояния животного. Без плазмафереза процесс выздоровления может затянуться. | 1. Плазмаферез. 2. Антипаразитарное средство. 3. Защелачивание. Капельница для удаления гемоглобина. Повторный плазмаферез на 2 сутки. Затем продолжается защелачивание и симптоматическая терапия. |
На протяжении болезни, через неделю после начала лечения, необходимо провести лабораторные анализы крови и мочи, а также УЗИ почек. Специфическая терапия требуется в случае судорог, сердечной или почечной недостаточности.
Пироплазмоз: памятка для заводчика
Бабезиозу подвержены собаки всех пород и возрастов. Даже миниатюрные питомцы, передвигающиеся исключительно на руках хозяев и вместо прогулок, предпочитающих кошачий лоток, становятся объектом нападения клеща. Иксоды прекрасно перемещаются на одежде человека. Поэтому после загородных променадов в сезон активности клещей нужно тщательно осматривать себя и одежду на предмет наличия опасных насекомых.
Инкубационный период пироплазмоза в среднем от 2 дней до 2 недель, именно столько нужно бабезии, чтобы размножится в организме питомца и вызвать разрушение эритроцитов.
Без лечения собака погибает, опасность представляют сами бабезии, активно населяющие красные кровяные клетки, и продукты их жизнедеятельности. Они очень токсичны для организма.
Факт! Если животное не получает специфического лечения в течение 3-4 дней после проявления первых признаков пироплазмоза, наступает летальный исход.
Особенности пироплазмоза у собак:
- Опасны не все клещи, а только те, у кого присутствуют бабезии (пироплазмы).
- Иксоды, вызывающие вирусный энцефалит у человека, для животных не опасны.
- Пироплазмозом нельзя заразиться человеку и другим животным не входящим в группу риска по бабезиозу.
- Чтобы выявить заболевание берут анализ крови на пироплазмоз. Мазок делают из периферической крови, взятой из уха или подушечек пальца.
Прямым подтверждением заболевания является обнаружение в мазке бабезий. Однако не всегда результаты анализов в первичном исполнении достоверны. При небольших инвазиях или неправильно взятой крови бабезии могут не попасть в поле зрения исследователя.
Чтобы передать паразитирующий микроорганизм клещ должен хорошо присосаться к коже и провисеть не менее суток. Поэтому после прогулок нужно тщательно исследовать питомца, иксоды присасываются на мягких участках: за ушами, на морде, в паху, реже области анального отверстия.
Последствия внедрения бабезий в организм собаки:
- разрушение эритроцитов;
- анемия (малокровие);
- одышка, общая слабость.
Тяжесть течения заболевания устанавливают визуально по бледности видимых слизистых оболочек и анализу крови. Разрушение эритроцитов удается остановить, если оперативно ввести лекарство от пироплазмоза. При обширных поражениях красных кровяных телец последствия непредсказуемы, спасет питомца только переливание крови.
Меры профилактики
Насекомые обычно выбирают для укусов участки с тонкой кожей, такие как внутренняя сторона бедер и живот. Если клещ присосался к шее под нижней челюстью, внимательный владелец сразу заметит это, так как питомец начнет чесать пораженное место.
Тем не менее, даже если вы правильно выбрали место для прогулки и тщательно осмотрели животное на наличие клещей, это не гарантирует защиту от заражения, если насекомое все же попало на тело вашего питомца. Поэтому наиболее эффективным способом профилактики является обработка кожи и шерсти кота акарицидами, которые парализуют насекомое.
Обработка от клещей должна проводиться в теплый период года — с мая по сентябрь. Препараты на основе перметрина, которые подходят для собак, не подходят для кошек, так как они слишком токсичны для них.
Для обработки кошек используют спреи или капли с фипронилом. Взрослую кошку следует обработать за 24 часа до запланированной прогулки в парке или лесу. Средство наносят на холку, чтобы питомец не смог его слизать. Активное вещество накапливается в сальных железах под кожей и не попадает в кровь. Эффект сохраняется на протяжении месяца.
Пироплазмоз у кошек, симптомы которого могут проявиться через 1,5−2 недели после заражения, представляет собой серьезное заболевание. Если не обратиться к ветеринару вовремя, животное может погибнуть. Поскольку бабезия проникает в организм питомца через укус иксодового клеща, необходимо заранее, до начала теплого сезона, принять меры по защите животного от этих кровососущих насекомых.
Владельцы кошек должны понимать, что распространение заболевания связано с укусами клещей. Поэтому с мая по ноябрь следует использовать специальные средства защиты от клещей, такие как спреи, капли или ошейники. При появлении подозрений на заболевание необходимо незамедлительно обратиться к ветеринару, так как на ранних стадиях болезнь легче поддается лечению и не вызывает серьезных побочных эффектов.
Не позволяйте кошке гулять в незнакомых местах или лесах, а после прогулки тщательно осматривайте животное — клещей сложно заметить в густой шерсти.
Существуют также вакцины против пироплазмоза, однако их эффективность пока не доказана.
Сегодня не только ветеринары, но и опытные заводчики знают о существовании пироплазмоза у кошек. Это радует, так как осведомленность позволяет своевременно принимать меры по профилактике. С наступлением первых теплых дней обязательно наденьте на своего питомца специальный ошейник против блох и клещей.
Дополнительно можно использовать капли на холку. Если вы собираетесь взять кота на дачу, не забудьте прихватить с собой спрей от клещей. Обработку лучше провести дома, чтобы препарат успел впитаться, что обеспечит защиту на срок до пяти дней.
Не забывайте осматривать своего любимца после каждой прогулки на наличие блох и клещей. Обнаруженные насекомые должны быть удалены и уничтожены. Если иксодовый клещ уже присосался, лучше сразу отправиться в ветеринарную клинику. Специалист не только извлечет его, но и проведет анализ на предмет заражения.
Диагностика и лечение пироплазмоза у взрослых животных и котят
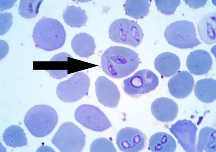
При осмотре больной кошки ветеринар ищет повреждения кожи от укусов клещей, опрашивает владельца о развитии болезни. Отсутствие повышения температуры тела — отличительный признак инвазии бабезиями. Врач назначает биохимический анализ крови для оценки состояния животного. Заражение пироплазмозом определяют с помощью микроскопа в мазке крови. Её берут из вены, расположенной на внешней поверхности уха. Образец окрашивают по Романовскому — Райту. Грушевидные парные образования внутри эритроцитов свидетельствуют о заражении паразитом. Но этот лабораторный тест не может установить точный диагноз. Когда уровень паразитемии низкий, то найти бабезии в мазках крови больной кошки затруднительно. Уточнить заражение домашнего питомца пироплазмозом помогает ПЦР-диагностика. Для неё разработаны методы идентификации нескольких разновидностей микропаразита.
Биохимические признаки кошачьего пироплазмоза:
- АЛТ и билирубин печени повышены;
- гематокрит снижен;
- лейкоциты и тромбоциты в пределах нормы;
- глобулины повышены.
Разрушая эритроциты в организме больной кошки, бабезии вызывают гипохромную анемию. Перемещаясь внутри сосудов, паразиты не повреждают кроветворную систему. Здоровый костный мозг синтезирует много молодых эритроцитов и макроцитов. Большое количество ретикулоцитов — важный критерий диагностики пироплазмоза. В Южной Африке бабезии обнаруживают у домашних питомцев, больных вирусом кошачьего иммунодефицита или лейкозом. Иногда происходит параллельное заражение пироплазмозом и гемобартонеллёзом, что редко бывает в Европе.
Антипротозойные препараты и вспомогательный уход — основная терапия кошачьего пироплазмоза у взрослых животных. Для лечения инвазии бабезиями ветеринары назначают примахина фосфат в дозировке 0,5 мг/кг веса тела внутримышечно или в таблетках каждые 36 часов. Лекарство дают 4 раза. Происходит уменьшение количества паразитов и прекращение их размножения. Затем дозу медикамента увеличивают почти до 1 мг/кг веса питомца и принимают однократно каждые 7 дней в течение месяца. Примахин тяжело переносится котятами. Он вызывает рвоту и усиление анемии, что требует переливания донорской крови.
При тяжёлой анемии, вызванной прироплазмозом, питомцу переливают донорскую кровь
Для терапии кошачьего пироплазмоза ветеринары назначают доксициклин по 5–10 мг/кг веса животного в течение 21 дня. Но этот препарат противопоказан беременным и кормящим кошкам. Для поддержки сопротивляемости организма питомца кормят пищей с высоким содержанием белков и жиров. Добавляют комплекс витаминов. Энергетическая потребность 70–90 ккал на килограмм веса животного в сутки. Это в 1,5 раза больше, чем норма питания здоровых кошек.
Лечение направлено лишь на преодоление последствий анемии, не уничтожает паразита полностью. Выздоровевший питомец становится пожизненным носителем спор бабезий. В будущем возможны рецидивы клинических признаков пироплазмоза, что требует повторного курса терапии. Вакцины не существует.
Применяемая врачами схема лечения кошачьего пироплазмоза даёт больше вопросов, чем ответов. Ветеринария не имеет специфического средства, которое воздействовало бы на паразита в организме животного. Вместо этого используется препарат от малярии, которым лечат людей. Действительно, по строению и жизненному циклу эти паразиты крови сходны между собой. К тому же распространены на одной территории, в субтропическом климате. Но стоит лишь немного превысить дозу или использовать другой противомалярийный препарат, например, хлорохин, кошка погибнет. Остаётся сожалеть, что безопасного лечения пироплазмоза для усатых питомцев медициной не найдено.
Восприимчивость котов к пироплазмозу
Пироплазмоз чаще всего фиксируется весной и осенью, особенно у собак, которые много времени проводят на свежем воздухе — в лесах, на охоте или в парках. Что касается домашних кошек, то их восприимчивость к этой болезни остается предметом споров и неясностей.
Современные ветеринары разделились на два мнения: одни уверены в существовании пироплазмоза у домашних кошек, другие же считают это заблуждением. Кто из них прав, покажет время: отсутствие обнаруженных паразитов не означает, что их нет.
На сегодняшний день продолжаются исследования в данной области, однако достоверные данные (фотографии, научные доказательства) о наличии бабезий в крови домашних животных либо отсутствуют, либо вызывают сомнения. В основном информация основана на слухах и неофициальных наблюдениях.
Пироплазмоз действительно наблюдается у диких кошачьих хищников, таких как леопарды и гепарды, а у домашних кошек он встречается реже, особенно в странах Африки. В последнее время появляются сообщения о случаях кошачьего пироплазмоза и в России. По мнению ученых, чаще всего болеют молодые животные, особенно представители сиамской породы.
Кошки с ослабленным иммунитетом или находящиеся в состоянии хронической инфекции могут заразиться собачьим пироплазмозом, но вероятность этого крайне мала. Для здоровых кошек данное заболевание не представляет опасности.
Появления лимфоцитов у детей
Во время взросления детей, у них в организме меняется много физически показателей, включая химическое составление крови. Однако во время подобного перестроения организма часто может сопровождаться появлением разнообразных заболевания: корь, краснуха, что характерны для детского возраста. Если лимфоциты в крови у ребенка повышены, тогда это может быть следствием следующих проблем:
- Наличие бронхиальной астмы.
- Регулярное недоедание или переедание.
- Малое количество витамин (авитаминоз).
- Отравление различными химическими веществами.
- Аллергические реакции на продукты, шерсть животных.
Однако не всегда такие проблемы сопровождаются характерными симптомами, к которым привыкли люди. Иногда такие болезни могут характеризоваться совершенно нетипичными моментами, что появляются при классических вирусных болезнях:
- Увеличение миндалин.
- Нарушение системы пищеварения.
- Наличие постоянных перепад температуры.
- Аллергические высыпания на теле и покраснения.
- Повышенная усталость, сонливость, постоянная слабость.
При обнаружении одного из подобных показателей, рекомендуется без промедления обратиться к детскому педиатру, что назначит обследования и пропишет необходимое лечение. Мешкать в такой ситуации нельзя, так как запущенное состояние может привести к ухудшению всего состояния, которое будет сложнее вылечить. Также есть вероятность, что не пролеченое заболевание может стать хроническим, на всю жизнь человека.
Что происходит с заражения до первых симптомов болезни?
Иксодовые клещи выступают в роли промежуточных хозяев для пироплазм — внутриклеточных паразитов.
Во время прогулок по лесу или парку в весенне-осенний период клещ может прикрепиться к шерсти животного, проникая к его коже и начиная сосать кровь. С помощью своего хоботка клещ делает небольшой надрез на поверхности кожи питомца и попадает в кровеносный сосуд. После того как он насытится кровью, зараженный пироплазмами клещ возвращает часть своей крови вместе со слюной обратно в организм животного, что и приводит к заражению паразитом.
Этот процесс занимает от одного до двух суток.
Важно помнить! Все клещи могут представлять собой потенциальную угрозу. При обнаружении клеща на теле вашего питомца обязательно следует пройти полное лабораторное обследование.
Три стадии в жизненном цикле пироплазмы
1 стадия: спорозоиты, передаются со слюной клеща в кровь животного при укусе.
2 стадия: трофозоиты, развиваются в клетках крови-эритроцитах и питаются гемоглобином.
3 стадия: мерозоиты, появляются при активном делении трофозоитов. Именно они разрушают эритроциты полностью.
Разрушив один эритроцит пироплазма отправляется на поиск следующих. Иммунная система на этом этапе перестает справляться с выведением уничтоженных клеток из организма. Развивается сильная интоксикация, которая может привести к гибели животного.
Развитие болезни
Пироплазмоз, вызываемый бабезиями, затрагивает множество видов млекопитающих, однако птицы подвержены этому паразиту значительно реже. Впервые данная бактерия была выявлена румынским бактериологом Виктором Бабешем в 1887 году, когда он установил её связь с заболеваниями крупного рогатого скота.
В XX веке ученые классифицировали шесть различных видов этих микроорганизмов. Кошки заражаются Babesia felis — паразитом, размеры которого в три раза меньше, чем у возбудителя болезни у собак. Животные, в организме которых обнаруживается бабезия, становятся носителями этого опасного заболевания.
Причины и пути заражения
Пироплазмоз может поразить абсолютно любую кошку, независимо от породы и возраста. Чаще всего, болеют молодые животные в возрасте до трёх лет. Вспышка заболевания наблюдается, как правило, в период наибольшей активности клещей, то есть в тёплое время года (весна-лето).
Перед тем как попасть в организм кошки, бабезии обитают в теле иксодового клеща — промежуточного хозяина, который является лишь носителем инфекции. Для самого насекомого пироплазмы безвредны. Они заселяют оболочку кишечника клеща, где образуют споры.
Присосавшись к здоровому коту и напившись его крови, насекомое начинает отрыгивать содержимое желудка, и таким образом бабезия попадает в организм усатого питомца. Оказавшись в кровотоке животного, паразит мигрирует, проникая в эритроциты и питаясь их содержимым — гемоглобином.
Период инкубации
Продолжительность инкубационного периода может варьироваться. Если в организм животного попадает небольшое количество бактерий, а кошка при этом молода и здорова, первые признаки заболевания могут проявиться лишь через несколько недель. В случае серьезного заражения, когда в ослабленный организм питомца проникает значительное количество бактерий, бабезиоз может дать о себе знать уже через 2−3 дня.
В среднем инкубационный период составляет 10−14 дней. Кошачий пироплазмоз относится к числу довольно редких заболеваний, и зачастую не проявляет себя, что затрудняет диагностику даже для опытного специалиста. В результате может теряться ценное время, и отсутствие своевременного лечения может привести к трагическим последствиям для здоровья кошки.
Первые признаки и симптомы заболевания
Хотя такая патология у кошек встречается довольно редко, каждому владельцу домашних питомцев необходимо знать о симптомах болезни. Подозрение должны вызвать следующие признаки:
- У кошки меняется поведение — она становится вялой, неактивной, постоянно лежит, забившись в тёмный уголок.
- У животного полностью или частично пропадает аппетит. Некоторые коты отказываются от еды уже с первых дней, что вызывает их резкое исхудание.
- Нередко наблюдается сильная одышка. Дыхание животного становится поверхностным и частым.
- Появляется лихорадка. Температура тела поднимается до 41 градуса, иногда выше.
- Даже при вялом течении болезни кот быстро теряет вес, становится истощённым.
Поскольку при пироплазмозе происходит разрушение эритроцитов (красных кровяных телец), у животного развивается гемоглобинурия, то есть в моче появляются кровяные вкрапления. Для хронической формы болезни больше характерна желтуха. Иктеричности (желтушности) подвержены, чаще всего, все видимые слизистые оболочки, в тяжёлых случаях пожелтеть могут и кожные покровы. Шерсть грубеет, становится жёсткой.
Но самым серьёзным последствием активного размножения бактерий является массовое уничтожение красных кровяных телец. Для случаев хронического пироплазмоза характерно появление ядерных форм эритроцитов: организм начинает выпускать в кровоток их незрелые формы, пытаясь таким образом восполнить дефицит красных телец.
Отсутствие лечения приводит к появлению более тяжёлой симптоматики. Клиническая картина выглядит уже следующим образом: у больного питомца значительно замедляется ЧСС (частота сердечных сокращений), пульс становится редким. Кот медленно и тяжело дышит. Помимо этого, отмечаются сбои в работе желудочно-кишечного тракта: возникает диарея, рвота и тошнота либо, наоборот, запор, возникающий по причине иннервации.
Если кошке не оказать помощь, она может погибнуть либо стать носителем болезни, что также опасно как для других домашних питомцев, так и для неё самой — каждый раз при малейшем снижении иммунитета патология вновь приобретает острую форму.
Если заражение произошло уже в почтенном возрасте, питомец, скорее всего, погибнет, поскольку его организм уже не сможет справиться с заболеванием. В тяжёлых случаях гибель животного наступает уже на вторые сутки, поскольку для пироплазмоза характерно молниеносное развитие.
https://youtube.com/watch?v=EBoXEjcVRo8
Прогноз и профилактика пироплазмоза
Прогнозы по заболеванию зависят от того, насколько быстро владелец собаки обратится за помощью к ветеринару. Если обратиться на ранних стадиях, до появления признаков обезвоживания и гипоксии, шансы на выживание могут достигать 95%. Однако чем позже будет оказана помощь, тем больше органов животного пострадает, и тем ниже станет вероятность успешного исхода.
Профилактика пироплазмоза включает в себя использование противоклещевых средств и тщательный осмотр питомца после каждой прогулки в период активности клещей. Среди доступных препаратов можно выделить капли для наружного применения, аэрозоли и таблетки для внутреннего использования.
- Капли. Их наносят на холку и/или вдоль позвоночника (на кожу и шерсть) с определенной периодичностью. Эти средства не обладают системным действием, то есть не проникают в кровь собаки, а накапливаются в железах, волосяных луковицах и эпидермисе. Обработку следует повторять каждые 1-1,5 месяца. Частое мытье может снизить эффективность препарата.
- Таблетки. Считаются достаточно действенными против клещей, однако не обеспечивают 100% защиту. Их действие длится около 3 месяцев, активный компонент проникает в кровь.
- Аэрозоль (спрей). Обладает отпугивающим эффектом на клещей. Мытье питомца может свести эффективность к нулю. Без купания защита сохраняется не более 30 дней.
- Ошейник. Пропитан противоклещевым составом и считается одним из самых эффективных средств, так как его защитные свойства сохраняются до полугода. Однако он может вызывать аллергические реакции и местное выпадение шерсти у животного.
Следует помнить, что все перечисленные средства имеют высокую токсичность. Питомцам, предрасположенным к аллергиям, их применение нужно осуществлять с осторожностью. Лучше выбирать спреи на растительной основе, но в этом случае обработку придется проводить чаще.
Если шерсть и кожа питомца обработаны, клещ будет парализован до того, как сможет прокусить эпидермис.
Осмотр следует начинать с подмышек, паха, ушей, хвоста и груди. Когда клещ просто ползает по шерсти или коже собаки, он не может ее заразить. Инфекция передается только в момент присасывания, когда возбудитель находится в слюнных железах клеща.
Важно помнить, что у собак не формируется иммунитет после перенесенного пироплазмоза! Вакцины от этого заболевания не существует. Более того, отсутствие клеща на теле животного не гарантирует, что укус не произошел.
Клещ может укусить и отвалиться через несколько минут.
Хроническая форма
При неправильном методе лечения или в особо тяжёлых случаях заболевания может идти речь о хроническом его течении. В таком случае рецидивы болезни случаются через определённый промежуток времени и каждый раз требуют врачебного вмешательства.
Чтобы убедиться, что лечение проведено эффективно и возбудители в крови уничтожены полностью, рекомендуется с интервалом в 10-14 дней пройти повторное обследование на предмет обнаружения живых возбудителей.
Важно! При терапии предполагается применение довольно токсичных препаратов, поэтому диагноз должен базироваться на полноценном обследовании
Рекомендации по уходу за кошкой во время лечения
Лечение пироплазмоза у кошек требует внимательного подхода и заботы со стороны владельца. Важно создать комфортные условия для питомца, чтобы облегчить его состояние и способствовать быстрому выздоровлению. Вот несколько рекомендаций по уходу за кошкой во время лечения:
- Обеспечьте покой: Кошка должна находиться в спокойной и тихой обстановке. Избегайте громких звуков и резких движений, которые могут вызвать стресс у животного. Убедитесь, что у нее есть уютное место для отдыха, где она может чувствовать себя в безопасности.
- Следите за режимом питания: Во время лечения важно поддерживать правильное питание. Если кошка отказывается от корма, проконсультируйтесь с ветеринаром о возможности изменения рациона. Возможно, потребуется предложить ей более легкую пищу, такую как консервированные корма или домашние блюда, которые легко усваиваются.
- Обеспечьте доступ к воде: Гидратация играет ключевую роль в процессе выздоровления. Убедитесь, что у кошки всегда есть свежая вода. Если она не пьет самостоятельно, можно попробовать предложить ей воду из шприца без иглы или использовать специальные поилки, которые стимулируют питье.
- Следите за состоянием здоровья: Внимательно наблюдайте за состоянием кошки. Обратите внимание на любые изменения в поведении, аппетите, уровне активности и внешнем виде. Если вы заметили ухудшение состояния, немедленно обратитесь к ветеринару.
- Соблюдайте рекомендации ветеринара: Следуйте всем указаниям ветеринарного врача относительно назначения лекарств и процедур. Не прекращайте лечение преждевременно, даже если симптомы исчезли. Полный курс терапии необходим для предотвращения рецидива заболевания.
- Избегайте контакта с другими животными: Пироплазмоз является инфекционным заболеванием, поэтому на время лечения старайтесь ограничить контакт вашей кошки с другими животными. Это поможет предотвратить распространение инфекции и снизит риск повторного заражения.
- Обратите внимание на профилактику: После завершения лечения обсудите с ветеринаром меры профилактики, чтобы избежать повторного заражения. Это может включать использование средств защиты от клещей и регулярные осмотры на наличие паразитов.
Следуя этим рекомендациям, вы сможете создать оптимальные условия для восстановления вашей кошки и помочь ей быстрее вернуться к нормальной жизни.
Вопрос-ответ
Как понять, что у кошки пироплазмоз?
Симптомы заболевания могут проявляться на 2-й — 7-й день и включают в себя вялость и апатию, снижение аппетита или полный отказ от корма, бледность слизистых, признаки интоксикации. В тяжелых случаях возможно проявление поражений почек, печени, нервной системы.
Какой препарат нужно колоть при пироплазмозе?
При лечении пироплазмоза Гамавит применяют внутривенно (капельно или струйно) или внутримышечно. Дозировки зависят от массы тела животного и тяжести заболевания. При тяжелой форме заболеваний в первые 2-4 суток препарат вводят внутривенно, затем переходят на внутримышечный путь введения (0,5 мл/кг, 2 раза в день).
Как понять, что кошка заболела после укуса клеща?
Симптомы проявляются через одну-три недели после укуса клеща и включают вялость, потерю аппетита, анемию, затрудненное дыхание, высокую температуру и желтуху.
Советы
СОВЕТ №1
Регулярно проводите профилактические осмотры у ветеринара, особенно в весенне-летний период, когда риск заражения пироплазмозом возрастает. Это поможет выявить заболевание на ранней стадии и начать лечение.
СОВЕТ №2
Используйте средства защиты от клещей, такие как специальные ошейники или спреи, чтобы снизить вероятность укусов и заражения. Обязательно следуйте инструкциям по применению и выбирайте средства, подходящие для вашего питомца.
СОВЕТ №3
Обратите внимание на поведение и состояние здоровья вашей кошки. Если вы заметили такие симптомы, как вялость, потеря аппетита, повышение температуры или изменение цвета мочи, немедленно обратитесь к ветеринару для диагностики и лечения.
СОВЕТ №4
Обеспечьте своей кошке комфортные условия жизни и минимизируйте стресс, так как ослабленный иммунитет может способствовать развитию пироплазмоза. Здоровое питание и регулярные физические нагрузки также помогут поддерживать здоровье вашего питомца.
Лечение пироплазмоза у кошек требует внимательного подхода и заботы со стороны владельца. Важно создать комфортные условия для питомца, чтобы облегчить его состояние и способствовать быстрому выздоровлению. Вот несколько рекомендаций по уходу за кошкой во время лечения:
- Обеспечьте покой: Кошка должна находиться в спокойной и тихой обстановке. Избегайте громких звуков и резких движений, которые могут вызвать стресс у животного. Убедитесь, что у нее есть уютное место для отдыха, где она может чувствовать себя в безопасности.
- Следите за режимом питания: Во время лечения важно поддерживать правильное питание. Если кошка отказывается от корма, проконсультируйтесь с ветеринаром о возможности изменения рациона. Возможно, потребуется предложить ей более легкую пищу, такую как консервированные корма или домашние блюда, которые легко усваиваются.
- Обеспечьте доступ к воде: Гидратация играет ключевую роль в процессе выздоровления. Убедитесь, что у кошки всегда есть свежая вода. Если она не пьет самостоятельно, можно попробовать предложить ей воду из шприца без иглы или использовать специальные поилки, которые стимулируют питье.
- Следите за состоянием здоровья: Внимательно наблюдайте за состоянием кошки. Обратите внимание на любые изменения в поведении, аппетите, уровне активности и внешнем виде. Если вы заметили ухудшение состояния, немедленно обратитесь к ветеринару.
- Соблюдайте рекомендации ветеринара: Следуйте всем указаниям ветеринарного врача относительно назначения лекарств и процедур. Не прекращайте лечение преждевременно, даже если симптомы исчезли. Полный курс терапии необходим для предотвращения рецидива заболевания.
- Избегайте контакта с другими животными: Пироплазмоз является инфекционным заболеванием, поэтому на время лечения старайтесь ограничить контакт вашей кошки с другими животными. Это поможет предотвратить распространение инфекции и снизит риск повторного заражения.
- Обратите внимание на профилактику: После завершения лечения обсудите с ветеринаром меры профилактики, чтобы избежать повторного заражения. Это может включать использование средств защиты от клещей и регулярные осмотры на наличие паразитов.
Следуя этим рекомендациям, вы сможете создать оптимальные условия для восстановления вашей кошки и помочь ей быстрее вернуться к нормальной жизни.
Лечение пироплазмоза у кошек требует внимательного подхода и заботы со стороны владельца. Важно создать комфортные условия для питомца, чтобы облегчить его состояние и способствовать быстрому выздоровлению. Вот несколько рекомендаций по уходу за кошкой во время лечения:
- Обеспечьте покой: Кошка должна находиться в спокойной и тихой обстановке. Избегайте громких звуков и резких движений, которые могут вызвать стресс у животного. Убедитесь, что у нее есть уютное место для отдыха, где она может чувствовать себя в безопасности.
- Следите за режимом питания: Во время лечения важно поддерживать правильное питание. Если кошка отказывается от корма, проконсультируйтесь с ветеринаром о возможности изменения рациона. Возможно, потребуется предложить ей более легкую пищу, такую как консервированные корма или домашние блюда, которые легко усваиваются.
- Обеспечьте доступ к воде: Гидратация играет ключевую роль в процессе выздоровления. Убедитесь, что у кошки всегда есть свежая вода. Если она не пьет самостоятельно, можно попробовать предложить ей воду из шприца без иглы или использовать специальные поилки, которые стимулируют питье.
- Следите за состоянием здоровья: Внимательно наблюдайте за состоянием кошки. Обратите внимание на любые изменения в поведении, аппетите, уровне активности и внешнем виде. Если вы заметили ухудшение состояния, немедленно обратитесь к ветеринару.
- Соблюдайте рекомендации ветеринара: Следуйте всем указаниям ветеринарного врача относительно назначения лекарств и процедур. Не прекращайте лечение преждевременно, даже если симптомы исчезли. Полный курс терапии необходим для предотвращения рецидива заболевания.
- Избегайте контакта с другими животными: Пироплазмоз является инфекционным заболеванием, поэтому на время лечения старайтесь ограничить контакт вашей кошки с другими животными. Это поможет предотвратить распространение инфекции и снизит риск повторного заражения.
- Обратите внимание на профилактику: После завершения лечения обсудите с ветеринаром меры профилактики, чтобы избежать повторного заражения. Это может включать использование средств защиты от клещей и регулярные осмотры на наличие паразитов.
Следуя этим рекомендациям, вы сможете создать оптимальные условия для восстановления вашей кошки и помочь ей быстрее вернуться к нормальной жизни.







