Отит у собак — распространенное заболевание, которое может привести к серьезным последствиям при отсутствии должного внимания. В статье рассмотрим основные причины отита, его симптомы и методы лечения в домашних условиях. Знание этих аспектов поможет владельцам собак своевременно распознать проблему и предпринять меры для облегчения состояния питомца, что способствует его здоровью и благополучию.
Причины отита у собак
Наиболее распространенные причины воспалительных процессов включают травмы ушей или головы, укусы клещей, образование серных пробок, наличие новообразований или инородных объектов, а также аллергические реакции на лекарства, корма и моющие средства. Заболевание может быть вызвано как недостаточным уходом, так и чрезмерной чисткой ушей, ослабленным иммунитетом, стоматологическими проблемами, гормональными нарушениями и переохлаждением.
Воспаление часто наблюдается у восточноевропейских овчарок из-за анатомических особенностей их слуховых органов, а также у собак с выраженными складками на мордочке, у тех, кто любит плавать, или у питомцев, проживающих в регионах с повышенной влажностью.
Отит у собак является распространенной проблемой, с которой сталкиваются многие владельцы домашних животных. Эксперты в области ветеринарии подчеркивают, что это заболевание может быть вызвано различными факторами, включая аллергии, инфекции и наличие инородных тел в ушах. Важно отметить, что симптомы отита могут варьироваться: от зуда и покраснения до выделений и неприятного запаха. Ветеринары рекомендуют регулярные осмотры ушей питомца, особенно у пород с длинными ушами, которые более подвержены этому заболеванию. Ранняя диагностика и лечение играют ключевую роль в предотвращении осложнений. Владельцам следует быть внимательными к поведению своих собак и при первых признаках дискомфорта обращаться за помощью к специалистам.
https://youtube.com/watch?v=I27J-NYgwis
Первичные причины
Воспаление уха могут спровоцировать, как внешние раздражители, так и внутренние патологии:
- Аллергия. Для гиперчувствительных собак виновниками воспаления становятся контактные, пищевые, лекарственные аллергены. Компоненты корма, моющих и гигиенических средств, слюны насекомых, лечебных препаратов. Аллергический отит чаще захватывает оба уха, нередко переходит в хроническую форму.
- Паразиты. Возбудители паразитарного отита или отодектоза – ушные клещи Otodectes cynotis. Они живут на поверхности кожи, питаются ороговевшими частицами кожи, серой, лимфой, прокалывая тонкий эпидермис хелицерами. Клещи травмируют кожу, раздражают нервные окончания. Токсичные продукты жизнедеятельности членистоногих могут спровоцировать аллергическую реакцию и усилить воспалительный процесс. Реже паразитарный отит начинаются на фоне саркоптоза и демодекоза.
- Инородное тело. В уши собак попадает сухая трава, семена и ости растений, песок, насекомые, вата после гигиенической обработки. Любой посторонний предмет раздражает нервные рецепторы, провоцирует усиленную секрецию серы, оставляет на нежной коже микротравмы. В группе риска собаки с крупными стоячими ушами.
- Вода. Собаки вытряхивают воду из ушей после купания, мотая головой. Но иногда жидкость остается. При повышенной влажности нарушается баланс естественной микрофлоры, распространяются патогенные бактерии и грибы.
- Гормональный дисбаланс. Недостаток или избыток гормонов щитовидной железы, надпочечников вызывает гиперсекрецию серы, нарушает кератинизацию, снижает барьерные функции кожи.
- Аутоиммунные нарушения. Воспаление уха может начаться как симптом редких аутоиммунных заболеваний кожи: листовидной пузырчатки, буллезного дерматита, системной красной волчанки.
| Причина отита | Симптомы | Лечение |
|---|---|---|
| Бактериальная инфекция | Покраснение, отек, гнойные выделения, неприятный запах, зуд, боль при прикосновении к уху | Антибиотики (местно или системно), очистка уха |
| Грибковая инфекция (например, Malassezia) | Коричневые, воскообразные выделения, зуд, неприятный запах, покраснение | Противогрибковые препараты (местно), очистка уха |
| Ушные клещи (отодектоз) | Темные, сухие, крошащиеся выделения (похожие на кофейную гущу), сильный зуд, тряска головой, расчесы | Акарицидные препараты (местно или системно), очистка уха |
| Аллергия (пищевая, атопическая) | Рецидивирующий отит, покраснение, зуд, часто двусторонний | Выявление и исключение аллергена, противовоспалительные препараты, антигистаминные средства |
| Инородное тело (например, колосок) | Внезапное начало, сильная боль, тряска головой, односторонний отит, выделения | Удаление инородного тела, противовоспалительные препараты, антибиотики (при необходимости) |
| Новообразования (полипы, опухоли) | Хронический отит, выделения, боль, возможно нарушение слуха, деформация уха | Хирургическое удаление, гистологическое исследование |
| Аутоиммунные заболевания | Хронический отит, язвы, корки, боль | Иммуносупрессивная терапия |
| Травма | Боль, отек, кровотечение, возможно повреждение барабанной перепонки | Обработка раны, противовоспалительные препараты, антибиотики (при необходимости) |
| Гормональные нарушения (например, гипотиреоз) | Хронический отит, сухая кожа, выпадение шерсти, вялость | Лечение основного заболевания, поддерживающая терапия для ушей |
Интересные факты
Вот несколько интересных фактов об отите у собак:
-
Разнообразие причин: Отит у собак может быть вызван различными факторами, включая аллергии, инфекции (бактериальные или грибковые), паразитов (например, ушные клещи) и даже инородные тела. Это делает диагностику и лечение отита довольно сложными и требует внимательного подхода.
-
Симптомы и поведение: Собака с отитом может проявлять различные симптомы, такие как тряска головой, почесывание ушей, неприятный запах из ушей и даже изменения в поведении, такие как раздражительность или агрессия. Эти изменения могут быть вызваны дискомфортом и болью, что делает важным своевременное обращение к ветеринару.
-
Предрасположенность пород: Некоторые породы собак более предрасположены к отитам из-за особенностей строения ушей. Например, собаки с длинными и висячими ушами, такие как таксы или кокер-спаниели, имеют более высокий риск развития отита, так как их уши могут задерживать влагу и создавать благоприятную среду для роста бактерий и грибков.
https://youtube.com/watch?v=63DIkhhewZ8
Вторичные причины
Ранее основными причинами ушного воспаления считались инфекции, вызванные бактериями и грибками. Однако в здоровом ухе патогенные микроорганизмы не могут обосноваться. Поэтому сейчас их рассматривают как вторичные факторы, усугубляющие течение заболевания.
Инфекции уха могут быть вызваны условно-патогенными бактериями, палочками и грибами, которые являются частью нормальной микрофлоры и обычно не причиняют вреда. Однако при неблагоприятных условиях они могут размножаться и вызывать воспалительные процессы:
- Бактериальный отит чаще всего вызывают стафилококки, стрептококки, клебсиеллы, а также кишечная и синегнойная палочка.
- Грибковые инфекции могут быть спровоцированы дрожжевыми грибами, такими как малассезия и кандида.
У собак нередко выявляют смешанные инфекции.
Предрасполагающие факторы
Риск развития отита повышает всё, что мешает естественному выведению серы, нарушает микроциркуляцию воздуха, задерживает влагу и меняет микроклимат внутри уха:
- Длинные свисающие уши.
- Врожденный или приобретённый стеноз (сужение) слухового канала.
- Разрастание хрящевой ткани, утолщение складок в ушной раковине.
- Новообразования: полипы, папилломы, наросты.
- Избыточная шерсть у входного отверстия.
Неправильный уход за ушами тоже делает собак более уязвимыми:
- Применение ватных палочек. Слуховой канал у собак длинный и изогнутый, поэтому палочками невозможно его прочистить. Зато они образуют на тонкой коже микротравмы, заталкивают серу вглубь, а вата часто остается внутри.
- Чрезмерная гигиена. Ушная сера выполняет важные задачи: увлажняет кожу, очищает от пыли, грязи; защищает от вредных микроорганизмов. У здоровой собаки излишки серы выводится наружу сами при жевании, глотании. Слишком частые промывания оставляют слуховой канал без защиты. К тому же, чем тщательнее её вычищать серу, тем интенсивнее она выделяется потом. Подробнее читайте в инструкции когда и как чистить уши собаке.
Профилактические меры
Владелец обязан заботиться о здоровье своего четвероногого друга, что подразумевает профилактику различных заболеваний. Чтобы предотвратить отит, следует придерживаться следующих рекомендаций:
- избегайте переохлаждения собаки;
- после купания аккуратно удаляйте излишки воды с помощью ватного тампона;
- регулярно проводите гигиенические процедуры – осматривайте ушные раковины ежедневно и очищайте их несколько раз в неделю;
- обеспечьте сбалансированное питание для собаки, при необходимости добавляя витаминные комплексы;
- ограничьте общение собаки с незнакомыми животными;
- старайтесь минимизировать риск травм и стрессовых ситуаций для вашего питомца.
Отит может привести к потере слуха у животного и вызвать ряд других серьезных последствий. Чтобы избежать этого, внимательно следите за состоянием своей собаки и не пытайтесь самостоятельно назначать лечение.
Классификация отитов
Отиты делятся по локализации поражения:
- на наружные отиты;
- на отиты среднего уха;
- на отиты внутреннего уха.
Стоит заметить, что обычно средний и внутренний отит не встречаются по отдельности и наблюдаются одновременно.
По характеру воспаления отиты бывают:
- серозными;
- катаральными;
- гнойными.
Последний вид отита наиболее опасен, так как причиной гнойного воспаления всегда является инфекционное, грибковое или паразитарное заболевание. В этом случае возбудитель может проникнуть в окружающие ткани, дойти до среднего и внутреннего уха, а далее – до мозга.
По причине возникновения отиты могут быть:
- первичные – когда причиной является инородное тело или кожные складки;
- вторичные – когда причиной становится инфекционное заболевание или паразиты.
Почему дети чаще страдают отитом?
Отит — это довольно распространенное заболевание, особенно среди детей. Почему же малыши страдают от него чаще, чем взрослые?
- Анатомические особенности детского уха. У детей ушная труба короче и шире, что облегчает проникновение инфекции в ушную полость.
- Частые простуды. У детей иммунная система еще не полностью сформирована, поэтому они чаще подвержены простудам, которые могут стать причиной отита.
- Активный образ жизни. Дети более подвижны и любят проводить время на улице, что увеличивает вероятность подхватить простуду или другую инфекцию.
- Регулярные контакты с больными сверстниками. В детских садах и школах дети постоянно общаются друг с другом, что способствует распространению инфекций.
- Недостаточная гигиена ушей. Неправильный уход за ушами может привести к развитию отита, особенно если дети часто используют ватные палочки или игрушки для чистки ушей.
Учитывая все эти аспекты, крайне важно обучить ребенка основам правильной гигиены ушей и поддерживать его иммунитет на должном уровне, чтобы снизить риск возникновения отита.
Лечение в домашних условиях
Терапия аллергического воспаления уха направлена на устранение болевых ощущений, покраснений, укрепление иммунитета и детоксикацию организма. Комплексное лечение может быть проведено в домашних условиях. При этом выбирать методы лечения, последовательность методов, дозировку препаратов должен специалист. В любом случае нужно следовать быстро, ведь для животного такой недуг большой стресс.
Первая помощь питомцу
При внезапном ухудшении состояния собаки и отсутствии возможности немедленно обратиться к ветеринару, важно оказать первой помощи своему питомцу. Для быстрого облегчения его состояния можно использовать любое антигистаминное средство. Дозу следует рассчитывать в зависимости от веса животного. Если у собаки наблюдается сильный зуд в области уха, можно обработать пораженное место кремом Тридерм или Ланолиновым кремом. Оказание экстренной помощи позволит выиграть время для спокойного визита к ветеринару.
Лечение медикаментозными препаратами
Назначением лекарств занимается ветеринар, самому выбирать средства не рекомендуется. Обычно назначаются блокаторы гистаминовых h1 рецепторов, противоаллергические препараты. На основе анамнеза и диагностических мероприятий собаке могут назначить такие средства в форме таблеток или микстур:
- Супрастин;
- Тавегил;
- Дезлоратадин;
- Димедрол.
Если вес животного превышает 10 кг. может быть назначен обезболивающий препарат Но-Шпа, Дротаверин, или Спазмонет. Такие препараты практичны, их легко применять в домашних условиях. У капель для собак есть свои особенности, нужно уметь их применять.
Использование ушных капель
Наиболее эффективным средством при аллергическом отите являются ушные капли. Эта форма лекарств обладает множеством преимуществ: она отличается высокой эффективностью, удобством в использовании и быстрым действием. Врачи чаще всего рекомендуют следующие капли для ушей собак:
- Барс — быстро устраняет аллергические реакции;
- Лосьон Росинка — содержит натуральные компоненты, успокаивает воспаленные участки и снимает зуд;
- Декта — помогает при чесотке;
- Отодепин — используется для гигиенического ухода;
- Отодепин — препарат с выраженным противоаллергическим эффектом;
- Софрадекс — антибиотик с мощным противовоспалительным действием.
При лечении собаки каплями необходимо проявлять осторожность. Перед применением препаратов следует тщательно очистить ушную раковину от выделений и удалить корочки. Это нужно делать очень аккуратно, так как при отите ухо животного становится особенно чувствительным, и его легко повредить, что может усугубить ситуацию.
В зависимости от указаний ветеринара капли следует закапывать либо непосредственно на пораженный участок, либо в слуховой проход.
Отит у ребенка: симптомы и лечение
Симптомы отита у ребенка
Отит — это одно из самых распространенных заболеваний среднего уха, особенно среди детей. Симптоматика отита может различаться в зависимости от типа и стадии болезни, однако наиболее характерными признаками являются:
- Болевые ощущения в ухе, которые могут усиливаться в ночное время
- Повышение температуры тела
- Головные боли
- Уменьшение слуха
- Выделение жидкости или гноя из уха
Лечение отита у ребенка
Лечение отита у ребенка зависит от формы и стадии заболевания. В некоторых случаях отит может пройти самостоятельно, но в большинстве случаев требуется лечение. Обычно назначаются антибиотики, которые помогают уничтожить бактерии, вызывающие заболевание. Также могут применяться местные препараты, такие как капли для ушей или обезболивающие препараты. В некоторых случаях может потребоваться хирургическое вмешательство
Важно обратиться к врачу при первых признаках отита, чтобы начать лечение вовремя и избежать возможных осложнений
Действуйте немедленно
Многие владельцы домашних животных испытывают страх перед сложностью и трудоемкостью терапевтических процедур. На начальных этапах лечение занимает всего 7 дней, после чего переходят к профилактическим мерам. В случае запущенной формы заболевания медикаментозная терапия может занять не менее месяца, после чего потребуется длительный процесс реабилитации и восстановления иммунной системы. В период лечения питомец должен находиться в карантине, что исключает его контакты с другими животными.
Если вы заметили тревожные симптомы, не стоит оставлять ситуацию без внимания. Имейте в виду, что хотя положительный прогноз наблюдается в 90% случаев, 10% заканчиваются полной потерей слуха или даже летальным исходом для заболевших животных. Ушной клещ, проникающий в нервные ткани, представляет собой наиболее опасный вариант развития событий.
Обращайте внимание на состояние вашего питомца и не забывайте о профилактических мерах. При любых подозрениях на отодектоз не откладывайте визит к ветеринару и не пытайтесь лечить животное самостоятельно. Неправильно поставленный диагноз может привести к серьезным последствиям.
Рекомендуется выработать полезную привычку: раз в месяц записываться на прием к ветеринару.
Во время структурного осмотра врач будет внимательно изучать все аспекты здоровья вашего любимца, что поможет предотвратить заболевания и поддерживать его хорошее самочувствие.
В домашних условиях
Не следует заниматься самолечением, поскольку выявить причину заболевания может только специалист. Неправильно подобранные противомикробные средства могут вызвать устойчивость патогенных микроорганизмов к лекарству, спровоцировать раздражение и усилить воспалительный процесс.
Если отсутствует возможность обратиться за помощью в ветеринарную клинику, владельцу собаки следует облегчить состояние питомца такими процедурами:
-
- осмотреть ухо, не используя посторонние предметы, чтобы не нанести дополнительных повреждений;
- очистить ушную раковину дезинфицирующими средствами;
- закапать уши по 3-4 капли капли Отинум или Отипакс и слегка помассировать основания ушей. Эти капли быстро и эффективно снимают зуд, устраняют боль, размягчают корочки и налет в ушном проходе;
- очистить уши с помощью ватного тампона. Если внутри слышится хлюпанье гнойного содержимого, рекомендуется засыпать смесь порошка стрептоцида и борной кислоты (соотношение 1:5);
- если у собаки повышена температура тела, можно однократно дать 0,5 таблетки жаропонижающее средство.
Последующее лечение в домашних условиях проводится назначенными врачом препаратами.
Диагностика среднего отита
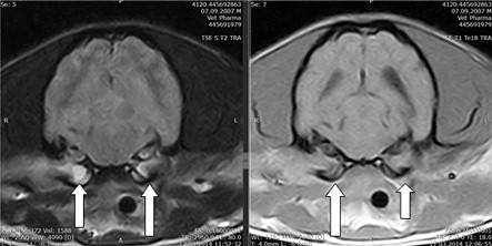
Средний отит устанавливается на основе клинических симптомов, состояния барабанной перепонки и методов визуальной диагностики. При остром течении заболевания на рентгеновских снимках могут наблюдаться такие изменения, как затрудненная видимость горизонтального слухового прохода из-за отека, тогда как при хроническом процессе фиксируется линейное обызвествление тканей наружного уха. В среднем ухе изменения могут отсутствовать или проявляться в виде лизиса стенок, утолщения барабанного пузыря, склероза или увеличения рентгеноконтрастности просвета. Часто эти изменения остаются незамеченными, однако на качественных рентгеновских снимках, где видны структуры внутреннего уха, можно выявить признаки склероза или размытые контуры лабиринта. Важно помнить, что череп имеет двустороннюю симметрию, поэтому потеря симметрии может указывать на наличие заболевания. Компьютерная томография (КТ) является более точным и надежным методом диагностики среднего отита по сравнению с рентгеном, хотя при легкой форме оба метода менее эффективны, чем при более тяжелых случаях. Магнитно-резонансная томография (МРТ), если она доступна, лучше подходит для визуализации мягкотканевых структур или новообразований, в то время как КТ более эффективно выявляет изменения в костных структурах.
Рис. 1 Собака породы грифон. Содержимое барабанных полостей заполнено экссудатом, наружный слуховой проход не содержит воздуха. Рис. 2 Французский бульдог с симптомами поражения вестибулярного аппарата.
Справа видно поражение барабанной полости, утолщение костной ткани барабанной полости (толстая стрелка) по сравнению с левой стороной (тонкая стрелка). Вход в барабанную полость практически отсутствует (фигурная стрелка).
Рис. 3 Та же собака. Воспалительный экссудат, костные структуры визуализируются слабо.
Однако последовательность программ FLAIR, Т2, Т1 и контрастирование позволяют провести дифференциальную диагностику между воспалением и новообразованием, а также оценить наличие воспалительного процесса в нервной системе (рис. 4).
А. Воспалительный процесс в барабанной полости вызвал воспаление оболочек головного мозга (стрелка). В. Накопление контраста указывает на воспалительный процесс (фигурная стрелка), необходимо сравнить рисунки Б и В. Г. Отек головного мозга воспалительного происхождения.
Меры профилактики
Чтобы не думать, как лечить воспаление ушей у питомца, нужно хорошо следить за слуховыми проходами животного.
Чтобы предупредить развитие отита важно соблюдать следующие правила:
- регулярно осматривать уши питомца;
- при наличии шерсти в них ее удалять;
- чистить слуховые проходы по мере загрязнения;
- не промывать слуховой проход здоровой особи, так как это приведет к повышению влажности в нем;
- в холодную и сырую погоду животным, страдающим хроническим отитом, надевать головной убор;
- показывать питомца ветеринару каждые полгода.
При подозрении на отит важно начать лечение как можно раньше иначе воспаление ушей может спровоцировать тяжелые осложнения. Автор и ведущий рубрики:
Ветеринарный врач
Смирнов Николай Евгеньевич
Автор и ведущий рубрики:
Ветеринарный врач
Смирнов Николай Евгеньевич
В связи с большим потоком поступающих вопросов, бесплатные ветеринарные консультации временно приостановлены.
Какие породы собак входят в группу риска?
В группу повышенного риска попадают собаки с ослабленным иммунитетом, такие как те, кто недавно перенес болезни или операции, а также животные, живущие на улице или в неблагоприятных условиях, щенки и пожилые собаки.
Наиболее подвержены отиту собаки брахицефальных и вислоухих пород, что связано с особенностями строения их ушного канала и ушной раковины:
- пекинесы,
- спаниели,
- шарпеи,
- лабрадоры-ретриверы,
- ши-тцу,
- мопсы,
- таксы,
- боксеры,
- чау-чау,
- ирландские сеттеры,
- бульдоги,
- чихуахуа,
- гриффоны и другие.
Если ваш питомец относится к группе риска, настоятельно рекомендуем внимательно следить за его здоровьем и регулярно проходить ветеринарные осмотры в Москве!
Экссудативный средний отит у детей.
Экссудативным средним отитом болеют как взрослые, так и маленькие пациенты. Но у ребенка диагностировать экссудативный отит бывает сложнее, чем у взрослых не только в связи с недостаточно яркой симптоматикой, но и с трудностями, возникающими во время сбора жалоб и анамнеза (маленькие пациенты не предъявляют жалоб). Жалобы и клиническая картина напрямую зависят от стадии заболевания. Начальная стадия ЭСО характеризуется скудными жалобами и клиническими проявлениями.
В большинстве случаев родители обращаются за оказанием медицинской помощи ребенку лишь тогда, когда заметили у него снижение слуха, то есть ребёнок начинает громко говорить, не сразу откликается на зов, просит увеличить громкость при просмотре детских телепередач, что уже соответствует продуктивно секреторной форме заболевания. Именно отсутствие болевого синдрома и приводит к позднему выявлению ЭСО. Но иногда маленькие пациенты способны описать свои ощущения. Взрослые люди обращаются к врачу с жалобами на ощущение жидкости в ухе («бульканья»), чувство полноты, аутофонию, изменение слуха в зависимости от наклона головы.
Профилактика отитов
Для предотвращения отитов достаточно соблюдать несколько простых рекомендаций:
- Подстригать шерсть вокруг ушей для обеспечения вентиляции слухового прохода (после консультации с ветеринаром);
- Удалять волоски, которые растут непосредственно внутри уха;
- Не промывать и не обрабатывать здоровые уши, так как это может нарушить микробный баланс;
- Регулярно проверять уши самостоятельно (раз в неделю) и посещать ветеринарную клинику для осмотра (раз в полгода);
- Обращать внимание на запах из ушей;
- Следить за тем, чтобы во время купания вода не попадала в уши, а после купания в природных водоемах удалять воду с помощью ватного тампона;
- Не позволять собаке высовываться из окна легкового автомобиля;
- Избегать кормления животного сладостями;
- Следить за возможными аллергическими реакциями и корректировать рацион питания.
Профилактика
Главным правилом профилактики заболеваний связанных с аллергией является устранение аллергена. После прохождения курса лечения необходимо исключить все потенциальные аллергенные корма, средства по уходу и тому подобное. Снизить риск заболевания можно и с помощью других мер:
- Не нужно каждый раз после прогулки мыть собаке уши. Это вредит микрофлоре уха, оно подвержено внешним раздражителям.
- Уберегать животное от попадания влаги в уши.
- Прекратить прогулки при ветреной и морозной погоде.
Также нежелательно подвергать питомца опасности получить травму уха. Рекомендуются профилактические посещения ветеринара, при котором врач проверит не только уши питомца, но и общее состояние.
https://youtube.com/watch?v=dnWhcHN5UaQ
Памятка владельцу – важное об ушном отите у собак
Отит наружного уха у собак – рекомендации для владельцев:
- При появлении первых признаков отита у собак, таких как зуд, покраснение кожи, наклон головы и местное повышение температуры в области ушей, незамедлительно обращайтесь к ветеринару. Ранняя диагностика и лечение – это залог здоровья вашего четвероногого друга!
- Любые попытки лечения в домашних условиях без предварительной консультации и осмотра у ветеринара – строго запрещены! Это касается самостоятельного назначения медикаментов, чистки ушей от выделений без рекомендаций специалиста и использования народных методов.
- Основной мерой профилактики является регулярная гигиеническая чистка ушей. Она может проводиться в домашних условиях только при отсутствии признаков отита и после консультации с ветеринаром. Для чистки используйте специальный очищающий лосьон и безворсовую салфетку.
Не забывайте о своевременной противопаразитарной обработке – строго следуйте инструкциям. Ушной клещ (отодектоз) является одной из наиболее распространенных причин воспаления наружного уха у собак.
| Наши расценки | |
| Первичный прием (клинический осмотр, консультация, постановка первичного диагноза, определение дальнейшей тактики диагностики и лечения) | 800 р. |
| Повторный прием | 400 р. |
| Консультация без присутствия животного | 500 р. |
| Консультация по результатам анализов | 400 р. |
Лечение
Чтобы подобрать правильное лечение, необходима верная постановка диагноза. После того, как специалист определит заболевание, он решает, как лечить отит. Если вы обнаружили у себя схожие симптомы, нельзя ни в коем случае заниматься самолечением, обязательно нужно сходить на консультацию оториноларинголога. Врач проведет отоскопическое исследование.. Врач проведет отоскопическое исследование (осмотр) и при необходимости дополнительные методы диагностики, после чего назначит лечение и при необходимости произведет хирургическое вмешательство (парацентез, вскрытие фурункула и т.д).
Симптомы отита у собаки
О развитии воспалительного процесса можно судить по следующим клиническим признакам:
- Зуд. Собака активно чешет уши и часто мотает головой.
- Отечность и изменения кожи. Ушная раковина становится опухшей, внутренняя поверхность краснеет и может покрываться сыпью.
Налет. Уши быстро загрязняются, образуя жирный или сухой, похожий на порошок налет.
Выделения. Они могут быть жидкими или вязкими, прозрачными, желтыми, светло-коричневыми, кофейными, с нейтральным или неприятным запахом.
Болевые ощущения. Собака не позволяет себя гладить и избегает прикосновений к голове.
Односторонний отит затрагивает только одно ухо, тогда как двухсторонний – оба.
Когда воспаление переходит на среднее ухо, в барабанной полости начинает скапливаться жидкость. Со временем она начинает давить на барабанную перепонку, а при инфицировании может превратиться в гной. Состояние собаки ухудшается:
- Боль усиливается. Собака испытывает трудности при пережевывании корма, отказывается от твердой пищи и наклоняет голову в сторону воспаленного уха.
- Слух снижается.
- Температура тела повышается.
- Лимфоузлы увеличиваются.
- При достижении воспаления внутреннего уха могут возникать неврологические симптомы, что приводит к нарушению координации.
Лечение среднего отита
Терапия среднего отита сходна с терапией наружного, однако осложнена несколькими факторами. Воспаленный респираторный эпителий, выстилающий барабанный пузырь, выделяет большое количество жидкости, которая, постоянно сочась, замедляет заживление барабанной перепонки. Если барабанная перепонка не повреждена, проводится миринготомия для доступа к среднему уху и дренирования. Сначала необходимо отобрать пробу для цитологического исследования и посева. Если жидкости нет, промойте барабанный пузырь 1 мл стерильного физиологического раствора через полипропиленовый катетер, затем введите раствор в барабанный пузырь и аспирируйте его несколько раз, пока раствор не станет чистым. Бактерии, выделенные с барабанной перепонки, часто иные, чем в горизонтальном слуховом проходе.2 Непосредственно в барабанный пузырь можно вводить неототоксичные водные препараты (например, дексаметазона натрия фосфат, энрофлоксацин и миконазол). Эмульсия BaytrilOtic, хотя не одобрена для применения при разрыве барабанной перепонки, признана безопасной многими ветеринарными дерматологами. Мази не следует вводить в среднее ухо.
Первичный секреторный средний отит с неповрежденной выбухающей барабанной перепонкой
При наружном или среднем отите необходимо назначить системное лечение. Применение кортикостероидов помогает снизить воспалительные процессы и уменьшить выработку секрета в барабанной полости и наружном слуховом канале. Информация о назначении антибиотиков и противогрибковых средств в системной терапии является противоречивой; такие препараты следует использовать индивидуально, основываясь на результатах посева и тестирования на чувствительность к антибиотикам, а также принимая во внимание степень тяжести заболевания и возможность владельца проводить местные процедуры. Системные фторхинолоны рекомендуется назначать в дозировке, соответствующей верхней границе установленного диапазона, поскольку их эффективность зависит от концентрации (то есть важнее достичь пика концентрации, чем поддерживать препарат на уровне выше минимальной ингибирующей концентрации). Использование доз ниже терапевтических значений с высокой вероятностью приведет к отбору микроорганизмов с повышенной устойчивостью. Кроме того, применение противовоспалительных доз глюкокортикоидов (0.5 мг/кг/день) в течение первых 5-7 дней терапии может помочь снизить воспалительные изменения в вестибулокохлеарном, лицевом или симпатических нервах.
Последствия untreated отита у собак
Отит у собак, если его не лечить, может привести к серьезным последствиям, которые затрагивают не только уши, но и общее состояние здоровья животного. Первоначально, воспаление может вызвать дискомфорт и боль, что приведет к тому, что собака будет часто трясти головой, чесать уши и проявлять беспокойство. Однако, если отит остается без должного внимания, могут развиться более серьезные осложнения.
Одним из наиболее распространенных последствий untreated отита является развитие хронического отита. Это состояние характеризуется постоянным воспалением, которое может привести к изменениям в структуре уха и ухудшению слуха. Хронический отит требует более сложного и длительного лечения, а иногда и хирургического вмешательства.
Кроме того, инфекция может распространиться на соседние анатомические структуры, такие как среднее ухо (отит медиа) и внутреннее ухо (отит интерна). Это может вызвать более серьезные проблемы, включая потерю слуха, нарушения равновесия и даже неврологические расстройства. Воспаление может затрагивать и другие органы, что приводит к системным инфекциям и общему ухудшению состояния здоровья собаки.
Не менее важным последствием untreated отита является риск развития аллергий и кожных заболеваний. Постоянное воспаление и зуд могут привести к тому, что собака начнет чесать уши и вокруг них, что может вызвать вторичные бактериальные или грибковые инфекции кожи. Это создает замкнутый круг, когда одно заболевание усугубляет другое, и требует комплексного подхода к лечению.
Также стоит отметить, что untreated отит может значительно снизить качество жизни собаки. Постоянная боль и дискомфорт могут привести к изменению поведения, снижению активности и даже депрессии. Собака может стать более агрессивной или, наоборот, замкнутой, что также влияет на ее взаимодействие с владельцем и окружающими.
В заключение, важно понимать, что отит у собак — это не просто локальная проблема, а состояние, которое может иметь серьезные последствия для здоровья животного. Регулярные осмотры у ветеринара и своевременное лечение помогут избежать осложнений и сохранить здоровье вашего питомца.
Вопрос-ответ
Каковы основные симптомы отита у собак?
Симптомы отита у собак могут включать покраснение и воспаление уха, неприятный запах из уха, зуд, частое трясение головой, а также выделения из ушной раковины. В некоторых случаях собака может проявлять дискомфорт при прикосновении к ушам.
Как лечить отит у собаки?
Лечение отита у собаки обычно включает очищение ушной раковины, применение противовоспалительных и антибиотических препаратов, назначенных ветеринаром. Важно следовать рекомендациям специалиста и не заниматься самолечением, так как неправильное лечение может усугубить состояние.
Как предотвратить развитие отита у собак?
Для предотвращения отита у собак важно регулярно проверять и очищать уши питомца, особенно после купания или прогулок в дождливую погоду. Также стоит избегать попадания воды в уши и следить за состоянием шерсти вокруг ушных раковин, чтобы предотвратить накопление грязи и влаги.
Советы
СОВЕТ №1
Регулярно проверяйте уши вашей собаки. Обратите внимание на наличие грязи, запаха или покраснения. Эти признаки могут указывать на начало отита, и ранняя диагностика поможет избежать серьезных проблем.
СОВЕТ №2
Не забывайте о гигиене ушей. Чистите уши вашей собаки специальными средствами, рекомендованными ветеринаром, чтобы предотвратить накопление воска и грязи, которые могут способствовать развитию воспаления.
СОВЕТ №3
Следите за состоянием здоровья вашей собаки. Аллергии, паразиты и другие заболевания могут способствовать развитию отита. Регулярные осмотры у ветеринара помогут выявить и устранить возможные причины.
СОВЕТ №4
Если вы заметили у вашей собаки симптомы отита, такие как зуд, покачивание головой или выделения из ушей, немедленно обратитесь к ветеринару. Самолечение может усугубить ситуацию и привести к серьезным осложнениям.
Отит у собак, если его не лечить, может привести к серьезным последствиям, которые затрагивают не только уши, но и общее состояние здоровья животного. Первоначально, воспаление может вызвать дискомфорт и боль, что приведет к тому, что собака будет часто трясти головой, чесать уши и проявлять беспокойство. Однако, если отит остается без должного внимания, могут развиться более серьезные осложнения.
Одним из наиболее распространенных последствий untreated отита является развитие хронического отита. Это состояние характеризуется постоянным воспалением, которое может привести к изменениям в структуре уха и ухудшению слуха. Хронический отит требует более сложного и длительного лечения, а иногда и хирургического вмешательства.
Кроме того, инфекция может распространиться на соседние анатомические структуры, такие как среднее ухо (отит медиа) и внутреннее ухо (отит интерна). Это может вызвать более серьезные проблемы, включая потерю слуха, нарушения равновесия и даже неврологические расстройства. Воспаление может затрагивать и другие органы, что приводит к системным инфекциям и общему ухудшению состояния здоровья собаки.
Не менее важным последствием untreated отита является риск развития аллергий и кожных заболеваний. Постоянное воспаление и зуд могут привести к тому, что собака начнет чесать уши и вокруг них, что может вызвать вторичные бактериальные или грибковые инфекции кожи. Это создает замкнутый круг, когда одно заболевание усугубляет другое, и требует комплексного подхода к лечению.
Также стоит отметить, что untreated отит может значительно снизить качество жизни собаки. Постоянная боль и дискомфорт могут привести к изменению поведения, снижению активности и даже депрессии. Собака может стать более агрессивной или, наоборот, замкнутой, что также влияет на ее взаимодействие с владельцем и окружающими.
В заключение, важно понимать, что отит у собак — это не просто локальная проблема, а состояние, которое может иметь серьезные последствия для здоровья животного. Регулярные осмотры у ветеринара и своевременное лечение помогут избежать осложнений и сохранить здоровье вашего питомца.
Отит у собак, если его не лечить, может привести к серьезным последствиям, которые затрагивают не только уши, но и общее состояние здоровья животного. Первоначально, воспаление может вызвать дискомфорт и боль, что приведет к тому, что собака будет часто трясти головой, чесать уши и проявлять беспокойство. Однако, если отит остается без должного внимания, могут развиться более серьезные осложнения.
Одним из наиболее распространенных последствий untreated отита является развитие хронического отита. Это состояние характеризуется постоянным воспалением, которое может привести к изменениям в структуре уха и ухудшению слуха. Хронический отит требует более сложного и длительного лечения, а иногда и хирургического вмешательства.
Кроме того, инфекция может распространиться на соседние анатомические структуры, такие как среднее ухо (отит медиа) и внутреннее ухо (отит интерна). Это может вызвать более серьезные проблемы, включая потерю слуха, нарушения равновесия и даже неврологические расстройства. Воспаление может затрагивать и другие органы, что приводит к системным инфекциям и общему ухудшению состояния здоровья собаки.
Не менее важным последствием untreated отита является риск развития аллергий и кожных заболеваний. Постоянное воспаление и зуд могут привести к тому, что собака начнет чесать уши и вокруг них, что может вызвать вторичные бактериальные или грибковые инфекции кожи. Это создает замкнутый круг, когда одно заболевание усугубляет другое, и требует комплексного подхода к лечению.
Также стоит отметить, что untreated отит может значительно снизить качество жизни собаки. Постоянная боль и дискомфорт могут привести к изменению поведения, снижению активности и даже депрессии. Собака может стать более агрессивной или, наоборот, замкнутой, что также влияет на ее взаимодействие с владельцем и окружающими.
В заключение, важно понимать, что отит у собак — это не просто локальная проблема, а состояние, которое может иметь серьезные последствия для здоровья животного. Регулярные осмотры у ветеринара и своевременное лечение помогут избежать осложнений и сохранить здоровье вашего питомца.






