Лимфома у кошек — распространенное онкологическое заболевание, которое негативно сказывается на здоровье и качестве жизни питомца. В этой статье рассмотрим симптомы лимфомы, формы заболевания и их причины. Также обсудим методы лечения и прогнозы на выздоровление, что поможет владельцам кошек своевременно распознать проблему и принять меры для помощи своему питомцу.
Лимфома легких — это рак?
Не всегда. Тем не менее, лимфомы в основном представляют собой злокачественные опухоли лимфатической системы, возникающие в результате неконтролируемого накопления аномальных лимфоцитов. Исключение составляют индолентные лимфомы.
Эти опухоли не требуют немедленного лечения, однако их наблюдение также имеет большое значение. Если у пациента наблюдаются вышеуказанные симптомы (повышенная температура, лихорадка, боли в грудной клетке), то обследование и терапия таких лимфом должны проводиться без промедления.
Злокачественные лимфоциты имеют отличительную форму по сравнению с «нормальными» клетками и представляют собой серьезный сбой в функционировании организма. У этих клеток возникают совершенно иные функции – они производят большое количество белков и токсинов, при этом не поддаются уничтожению со стороны иммунной системы, как это происходит с чуждыми клетками.
Лимфомы не всегда являются первичным источником онкологического процесса. Увеличенный лимфоузел или их группа (локализованные или диссеминированные) часто являются следствием метастазов. Это связано с тем, что лимфатический узел выполняет роль фильтра и накапливает злокачественные клетки, которые отделились от первичного опухолевого очага.
В таких случаях важно не только диагностировать лимфому, но и выявить первичный источник. Увеличение лимфоузлов в области легких может свидетельствовать о раке легких, молочной железы, средостения или желудка, то есть органов, находящихся в непосредственной близости.
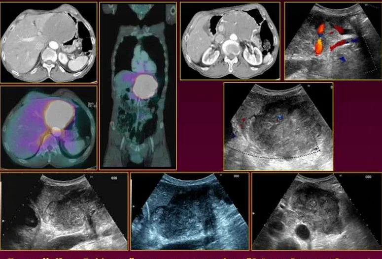
Для уточнения диагноза относительно доброкачественного или злокачественного новообразования проводятся биопсия (гистологическое исследование образца ткани) и анализы крови (клинический и биохимический). На КТ легких врачи могут обнаружить опухоль, оценить ее размер и распространенность увеличенных лимфоузлов, однако без дополнительных анализов сделать точный вывод о типе опухоли невозможно.
Эксперты в области ветеринарной онкологии подчеркивают, что лимфома у кошек является одним из наиболее распространенных видов рака у домашних животных. Симптомы заболевания могут варьироваться, но чаще всего владельцы замечают потерю аппетита, резкое снижение веса, вялость и увеличение лимфатических узлов. Важно отметить, что ранняя диагностика играет ключевую роль в успешном лечении. В большинстве случаев для подтверждения диагноза требуется биопсия или анализ крови. Лечение лимфомы может включать химиотерапию, которая, хотя и может вызывать побочные эффекты, значительно увеличивает продолжительность и качество жизни пациента. Ветеринары рекомендуют регулярные осмотры и внимательное отношение к изменениям в поведении и здоровье питомца, что позволяет выявить заболевание на ранних стадиях и начать необходимую терапию.
https://youtube.com/watch?v=lIdb_WL8OZ4
Причины
Одним из видов злокачественных новообразований, является лимфосаркома, также называемая лимфомой. Лимфома у кошек патологическое изменение лимфоидных тканевых структур пролиферативного типа, чаще обнаруживаемое у домашних питомцев, находящихся в молодом возрасте или же уже у пожилых. Связано это, прежде всего, с несовершенством иммунной системы у молодых и недостаточностью работы организма у старых кошек.
Базовые части защитной лимфатической системы – лимфоциты или белые кровяные тельца, проявляют активность по отношению к патогенным бактериальным микроорганизмам, вирусам и другим вредоносным агентам, проникающим в организм животного. Именно работа лимфоцитов обеспечивает достойную защиту организма.
Наиболее распространенная у кошек желудочно-кишечная неоплазия – алиментарная лимфома. Именуется патология также абдоминальной лимфосаркомой, так как характеризуется поражением всех слоев желудка и кишечника, а также рядом расположенных лимфатических узлов.
Мелкоклеточная лимфома характеризуется длительным течением и медленным развитием, в отличие от крупноклеточной, агрессивной опухоли, сопровождающееся резким снижением веса, повышенной утомляемостью и увеличением лимфатических узлов.
Причины развития злокачественной патологии у кошек различны, но ветеринарные специалисты сходятся во мнении, что основным провоцирующим фактором являются:
- Вирус кошачьего лейкоза – онковирус обладающий иммунносупресивными свойствами (подавляет иммунный ответ). ДНК-содержащий вирус, проникая в организм восприимчивого животного провоцирует нарушения в работе ДНК организма, провоцируя развитие лимфосаркомы.
- Вирус иммунодефицита – еще один вид вирусов лимфотропного типа. Играет особую роль в процессе формирования злокачественных клеток, провоцируя проблемы в активизации иммунной системы в ответ на патоген.
По месту расположения лимфомы бывают:
- Абдоминальная или алиментарная – для нее характерно поражение неопластического типа, которое может быть разлитым или же локализованным. Алиментарная лимфома характеризуется поражением не только стенок кишечника и желудка, но и лимфатических узлов.
- Медиастинальная неоплазия лимфоцитов – локализуется в области тимуса, поражая параллельно средостенные лимфатические узлы. Характерным для этого вида патологии является мультифокальное очаговое поражение плевральной оболочки. Диагностируется в подавляющем большинстве у кошек молодого возраста и ассоциирована с инфицированием вирусом лейкемии.
- Мультицентрическая неоплазия – вид злокачественного новообразования, локализующийся в области лимфатических узлов, расположенных на поверхности. При этом виде лимфомы в процесс патологического характера вовлекаются печеночные структуры и селезенка. Реже при мультицентрической неоплазии эти органы остаются нетронутыми.
- Экстронодулярная лимфома – характеризуется отсутствием определенного места расположения. При этом поражаются различные внутренние органы – ренальная система, респираторный тракт, центральная нервная система, кожные покровы. По типу расположения экстронодулярной неоплазии белых клеток крови, она будет иметь свое название – ренальная, назальная, глазная, кожная.
| Категория | Симптомы | Лечение |
|---|---|---|
| Общие симптомы | Потеря веса, снижение аппетита, вялость, лихорадка, рвота, диарея, увеличение лимфатических узлов (может быть незаметно) | Химиотерапия, лучевая терапия, хирургическое удаление (в некоторых случаях), поддерживающая терапия (обезболивающие, противорвотные, стимуляторы аппетита) |
| Желудочно-кишечная лимфома | Хроническая рвота, диарея, потеря веса, утолщение стенок кишечника (пальпируется), боль в животе, мелена (черный стул) | Химиотерапия (часто с преднизолоном), диета, пробиотики, витамины |
| Медиастинальная лимфома | Затрудненное дыхание (одышка), кашель, скопление жидкости в грудной полости (плевральный выпот), непереносимость физических нагрузок | Химиотерапия, дренирование плевральной полости, кислородная терапия |
| Почечная лимфома | Увеличение почек, почечная недостаточность (повышенная жажда, частое мочеиспускание, рвота), анорексия | Химиотерапия, поддерживающая терапия при почечной недостаточности (инфузионная терапия, диета) |
| Назальная лимфома | Хронические выделения из носа (часто односторонние), чихание, затрудненное дыхание через нос, деформация морды, носовые кровотечения | Лучевая терапия, химиотерапия |
| Мультицентрическая лимфома | Увеличение нескольких групп лимфатических узлов (периферических, брюшных), спленомегалия (увеличение селезенки), гепатомегалия (увеличение печени) | Химиотерапия (часто агрессивные протоколы) |
Интересные факты
Вот несколько интересных фактов о лимфоме у кошек:
-
Разнообразие форм: Лимфома у кошек может проявляться в различных формах, включая кишечную, медиастинальную и кожную лимфому. Каждая форма имеет свои уникальные симптомы и требует индивидуального подхода к лечению.
-
Возраст и порода: Лимфома чаще всего встречается у кошек среднего и пожилого возраста, но некоторые породы, такие как сиамские и абиссинские, могут иметь более высокий риск развития этого заболевания. Это подчеркивает важность регулярных ветеринарных осмотров для раннего выявления болезни.
-
Лечение и прогноз: Лимфома у кошек может быть лечима с помощью химиотерапии, которая может значительно продлить жизнь животного и улучшить качество жизни. Однако успех лечения зависит от стадии заболевания и общего состояния здоровья кошки. В некоторых случаях, при раннем обнаружении, возможно достижение ремиссии на длительный срок.
https://youtube.com/watch?v=mnzRDTRh0ZM
О заболевании
Лимфома является довольно распространенным заболеванием: каждый год более 580 тысяч человек по всему миру впервые слышат этот диагноз. В 90% случаев речь идет о неходжкинских лимфомах, которые составляют 5% от общего числа злокачественных опухолей и занимают пятое место среди онкологических заболеваний в развитых странах.
Статистика показывает, что мужчины подвержены лимфомам чаще, чем женщины. Наиболее высокая заболеваемость наблюдается в возрастных группах 25-35 лет и старше 50-60 лет.
На ранних стадиях лимфома может протекать с минимальными симптомами, проявляясь неясной и неспецифической симптоматикой. Тем не менее, если заболевание удается выявить на этом этапе, оно лучше поддается лечению и имеет высокий уровень выживаемости. Поэтому, если вы заметили у себя недомогание или новые симптомы, даже если они незначительные, не стоит заниматься самолечением или надеяться, что все пройдет само собой. Важно обратиться к врачу для уточнения диагноза.
Симптомы
Может проявляться хроническая, прогрессирующая потеря веса, тонкокишечная диарея и/или рвота. В результате инфильтрации алиментарная лимфома у кошек и собак может вызвать образование узелков или объемных образований кишечника, диффузное утолщение его стенки, расширение петель кишечника не связанное с обструкцией, и/или очаговое сужение. Кишечник визуально может выглядеть нормально; также может проявляться энтеропатия с потерей белка. Аденопатия мезентериальных лимфатических узлов (увеличение) типично, но не обязательно
Важно заметить, что IBD может вызвать слабую или выраженную мезентериальную лимфаденопатию. Внекишечные аномалии (например, периферическая лимфаденопатия) непоследовательно обнаруживаются у собак и кошек с алиментарной лимфомой
https://youtube.com/watch?v=Tbi8dgMe2P8
Стадии развития
В процессе классификации и диагностики специалисты используют различные подходы. Степень тяжести заболевания и проявления симптомов варьируются в зависимости от стадии.
Первая стадия
Злокачественные клетки обнаруживаются в узлах на одном участке. Человек ведет привычный образ жизни, не ощущает признаков болезни. Иногда возникает переутомление после интенсивных физических нагрузок или умственной работы.
Вторая стадия
Устанавливают наличие поражения лимфатических узлов в двух или более областях, находящихся по обе стороны от диафрагмы. Злокачественные клетки также могут быть выявлены в органах с экстралимфатическими тканями, такими как костный мозг, селезенка и печень. На второй стадии заболевания пациент испытывает повышенную утомляемость, сонливость и часто отказывается от физической активности и активного отдыха.
Третья стадия
Наблюдается воспаление и поражение лимфоузлов в разных частях тела, включая паховую шейную зоны. Нередко вовлекается селезенка, которая значительно увеличивается в размере, выпирает в подреберье. Больные жалуются на сильную слабость, с трудом обслуживают себя в быту. Они стараются больше лежать в постели, ухудшаются аппетит и сон, проявляются характерные признаки лимфомы.
Четвертая стадия
На этой стадии наблюдается множественное поражение лимфатических узлов и других органов. Размер опухолей может превышать 10 см в диаметре. У пациентов отмечаются симптомы интоксикации, а уровень СОЭ в крови значительно возрастает. Они вынуждены соблюдать постельный режим, практически не подвижны, теряют возможность заботиться о себе и избегают любой физической активности.
Что такое лимфома кишечника, по какой причине она возникает у котов?
Лимфома у кошек относится к онкологическим заболеваниям и поражает лимфоидные ткани животного. Эффективных способов излечения от подобной формы рака не разработано. Принимаемые врачами меры позволяют лишь продлить жизнь кошке. Точных причин образования опухоли ветеринары определить не могут, но озвучивают провоцирующие факторы:
- плохая экология в месте проживания животного;
- наследственная предрасположенность (если родители животного страдали от лимфомы, высока вероятность, что и у потомства может проявиться такое новообразование в кишечнике);
- продолжительное воздействие на организм животного ионизирующего излучения и поступление тяжелых металлов;
- заражение крови вирусом лейкоза (разносчиками вируса являются бездомные животные).
Любой из этих факторов может привести к негативным изменениям в геноме лимфоцитов. Происходит сбой в процессе деления клеток, в результате которого они начинают стремительно размножаться. Неконтролируемое их увеличение приводит к формированию злокачественного образования (лимфомы). Рост опухоли выражается в проникновении метастазов в лимфоидные ткани, работа пищеварительной системы нарушается, состояние животного резко ухудшается.
Осложнения лимфомы у кошек и прогнозы
Ветеринары подчеркивают, что без надлежащего лечения кошки с лимфомой могут прожить не более 8 недель. Однако применение химиотерапии может продлить этот срок до 2-18 месяцев, что зависит от типа заболевания и реакции организма на лечение.
Лучевая терапия
Форма заболевания также влияет на продолжительность жизни питомца:
- назальная форма – до 1,5 лет;
- алиментарная форма – до 10 месяцев;
- почечная форма – до полугода;
- средостенная форма – до 3 месяцев.
Существуют редкие случаи, когда животные, страдающие лимфомой, полностью выздоравливали или входили в длительную ремиссию, которая могла длиться несколько лет.
К возможным осложнениям этого заболевания относятся лейкопения (значительное снижение уровня белых кровяных клеток – лейкоцитов) и сепсис (попадание патогенных микроорганизмов в кровь, что приводит к отравлению организма).
Диагностика и лечение опухолей лимфатической системы
Поскольку все опухоли лимфоидной ткани сопровождаются увеличением лимфоузлов, то обнаружение такого признака должно всегда настораживать. Конечно, не стоит сразу паниковать и думать о худшем, если увеличились, к примеру, подчелюстные или паховые лимфоузлы, ведь такое случается нередко на фоне различных инфекций и довольно распространенных заболеваний (тонзиллит, инфекции полового тракта). Любители домашних животных могут обнаружить у себя увеличенные лимфоузлы после кошачьей царапины, а те, кто плохо следит за гигиеной полости рта, и вовсе практически постоянно ощущают увеличенные лимфоузлы под нижней челюстью.
В случае инфекционной природы лимфаденопатии назначение антибиотиков всегда ведет к утиханию воспалительного процесса и уменьшению размеров лимфоузлов. Если такого не происходит, то возникает необходимость в детальном обследовании.
Перво-наперво, врач подробно выяснит характер жалоб, время их возникновения и длительность, наличие признаков интоксикации в виде потери веса, необъяснимых подъемов температуры или ночной потливости.
Лабораторное подтверждение диагноза предусматривает общий анализ крови, в котором можно обнаружить повышение количества лимфоцитов при некоторой лейкопении, ускорение СОЭ.
Основным и наиболее достоверным способом диагностики лимфом считается биопсия лимфоузла, когда его фрагмент берется для микроскопического изучения на предмет наличия опухолевых клеток. Иногда возникает необходимость в повторном взятии материала для исследования или удалении всего лимфоузла целиком.
биопсия лимфоузла
Для дальнейшего уточнения диагноза, установления его стадии, распространенности и характера изменений во внутренних органах используют:
- Рентгенографию органов грудной полости.
- КТ, МРТ (для исследования печени, селезенки, головного мозга, легких, области шеи и др.)
- УЗИ.
- Фиброэзофагогастроскопию (при подозрении на первичные лимфомы либо распространении опухолевого процесса из других органов).
- Радиоизотопное сканирование костей.
- Пункцию с биопсией костного мозга.
диагностический снимок больного лимфомой, на поз. B – результат 3-месячной химиотерапии
Оперативное лечение имеет весьма ограниченное применение при лимфомах и используется чаще при изолированных формах опухолей либо для облегчения состояния пациента в далеко зашедших стадиях, уменьшения болевого синдрома или давления увеличенных лимфоузлов на внутренние органы. В случае первичного поражения селезенки прибегают к ее удалению, что дает очень хороший терапевтический эффект и даже полное излечение от опухоли.
Химиотерапия – основной и самый эффективный способ борьбы с опухолями лимфатической системы. Назначение химиопрепаратов позволяет добиваться длительной ремиссии у многих пациентов даже с агрессивными высокозлокачественными лимфомами. Пожилым и ослабленным больным возможно назначение одного противоопухолевого препарата, в то время как бластные формы у молодых лиц требуют применения программ по лечению острых лимфолейкозов.
При агрессивных низкодифференцированных опухолях хорошо себя показывает одновременное назначение 5-6 препаратов. Конечно, такое лечение сопряжено с риском побочных эффектов, но коррекция возникающих нарушений, контроль показателей крови, назначение противорвотных препаратов, антибиотиков, витаминов и микроэлементов способствуют лучшей его переносимости.
Параллельно с химиотерапией или до нее может быть проведено облучение, особенно, в случаях локальных поражений, а также распространения опухоли в кости, органы средостения.
Перспективным способом борьбы с опухолью может стать пересадка костного мозга или отдельных клеток крови как самого пациента, так и донора. В случае распространения лимфомы в костный мозг возможно применение только донорского органа.
Что касается самодеятельности и народных средств, столь любимых многими, то лишний раз нужно лишь напомнить, что рак – не тот случай, когда можно отказаться от официальной медицины в пользу нетрадиционной. Такое пренебрежение к своему здоровью может стоить жизни.
В заключение хотелось бы отметить, что большинство лимфом все же хорошо поддаются лечению при условии своевременности постановки диагноза и начала терапии. Не стоит терять время, ждать, пока «само пройдет» или доверять свое здоровье народным целителям. При любом неблагополучии нужно сразу же обращаться к специалисту-онкологу, который способен оказать квалифицированную помощь, направленную на продление жизни и излечение.
Лимфома желудка: главное о недуге
Что такое лимфома желудка?
Лимфома желудка – это злокачественное новообразование, которое затрагивает лимфатическую систему в области желудка. Болезнь начинается с возникновения опухолевых узлов в слизистой или подслизистой желудка. Затем раковые клетки распространяются на соседние участки, вызывая незначительную боль в верхней части живота, дисфагию, тошноту, рвоту и ухудшение общего состояния здоровья.
Лимфома желудка представляется относительно редким видом рака с наибольшей распространённостью среди европейской части CCP. Риск заболевания возрастает после 50 лет, а основными факторами риска являются ВИЧ-инфекция, ослабление иммунитета, аутоиммунные заболевания, наследственность и т.д.
Диагностика лимфомы желудка
- Компьютерная томография желудка – используется для оценки опухолевых образований, их размеров и местоположения.
- Гастроскопия – применяется для получения биопсийного материала с целью последующего анализа.
- КТ – помогает обнаружить наличие раковых образований в других органах.
- Анализ крови – позволяет определить уровень лактатдегидрогеназы или бета-2 микроглобулина, что может служить потенциальным индикатором заболевания.
Лечение лимфомы желудка
Лечение лимфомы желудка зависит от степени злокачественности опухоли и стадии заболевания, а также от общего состояния пациента.
- Хирургическое вмешательство – это удаление опухоли в животе.
- Химиотерапия – это введение мощных препаратов противоопухолевой терапии, которые могут уничтожить злокачественные клетки и избавить от трудноудаляемого рака.
- Иммунотерапия – способствует активации иммунной системы, которая может контролировать и уничтожать раковые клетки.
Обязательно следует обратиться к врачу, если замечены признаки лимфомы желудка. Раннее обращение позволяет быстрее и эффективнее начать лечение, а также обеспечить большую вероятность полного излечения.
Симптомы злокачественного новообразования вилочковой железы
Некоторое время злокачественная опухоль вилочковой железы может не проявлять никаких симптомов. На этом этапе она часто выявляется случайно во время рентгенографии грудной клетки или флюорографии. По мере прогрессирования заболевания появляются и усиливаются неспецифические симптомы, связанные с локальным воздействием опухоли на органы грудной клетки и средостения:
- Кашель.
- Боль в грудной области.
- Одышка. Она может возникать из-за сжатия дыхательных органов или миастенического синдрома, при котором наблюдается мышечная слабость, вызванная нарушением нейромышечных связей.
- Синдром верхней полой вены — это нарушение венозного оттока от головы и плечевого пояса, вызванное компрессией верхней полой вены. Проявляется цианозом кожи, отечностью верхней части тела и расширением вен.
- Нарушение работы иммунной системы. Тимус — это орган, в котором проходят определенные стадии развития Т-лимфоцитов. При опухолевых процессах происходит сбой в их дифференцировке, что может привести к иммунодефицитам или аутоиммунным заболеваниям. Наиболее распространенным из них является миастения — нарушение нервно-мышечной проводимости, возникающее из-за воздействия антител на рецепторы ацетилхолина. Это приводит к мышечной слабости и повышенной утомляемости. Миастения чаще всего встречается при лимфомах типов В1-В3 и С.
- Аплазия костного мозга.
- Повышение температуры и ночные поты. Эти симптомы могут затруднить дифференциальную диагностику, так как они более характерны для лимфом.
- На поздних стадиях добавляются симптомы канцерогенной интоксикации: общая слабость, потеря аппетита и снижение массы тела.
Осложнения
Опухоль активно разрастается, поражает окружающие органы. Она собирает воспалительный экссудат, создавая повышенное давление на кровеносные сосуды. Среди осложнений при лимфоме средостения:
- синдром верхней полой вены;
- компрессия спинного мозга;
- патологические переломы костей, ребер, позвоночника;
- кишечная непроходимость;
- развитие сердечно-легочной недостаточности;
- паралич конечностей;
- энцефалопатия.
У пациентов с неходжкинской лимфомой часто возникают лимфоматоидный менингит, непроходимость. Ослабление иммунитета приводит к частым вирусным инфекциям, которые протекают с тяжелыми осложнениями.
Диагностика неходжкинских лимфом
Внимательное наблюдение за появлением необычных признаков и симптомов может способствовать раннему выявлению неходжкинских лимфом (НХЛ).
Симптоматика НХЛ может варьироваться в зависимости от расположения опухоли.
Увеличенные лимфатические узлы на шее, в области подмышек, надключичных и паховых областях могут быть легко замечены как врачом, так и самим пациентом.
При образовании опухоли в вилочковой железе или лимфатических узлах грудной клетки может произойти сжатие трахеи, что приведет к кашлю, одышке и отеку верхней части тела и лица.
Поражение лимфатических узлов в области живота может вызвать увеличение его размеров как за счет опухолевых образований, так и из-за скопления жидкости. Сжатие кишечника может привести к частичной или полной кишечной непроходимости, что проявляется тошнотой, рвотой и болями в животе.
Лимфома желудка может сопровождаться болями в верхней части живота, тошнотой, рвотой и снижением аппетита.
Пациенты с НХЛ головного мозга часто жалуются на головные боли, тошноту, рвоту, судороги и другие симптомы.
При лимфоме кожи может возникнуть зуд и образование подкожных уплотнений красновато-багрового цвета.
Помимо местных проявлений, могут наблюдаться и общие симптомы, такие как необъяснимая потеря веса, повышение температуры, сильное потоотделение, особенно ночью, и выраженный зуд кожи. Эти симптомы могут указывать на наличие распространенного опухолевого процесса и ухудшать прогноз заболевания.
Важно помнить, что увеличение лимфатических узлов может быть связано и с инфекцией. Поэтому часто назначаются антибиотики. Если в течение нескольких недель не наблюдается уменьшения размеров лимфатических узлов, необходимо провести более тщательное обследование. Биопсия, то есть забор образца опухоли для анализа, является окончательным методом диагностики лимфомы. Биопсию можно выполнить как с помощью иглы, так и в ходе небольшой операции.
Пункция и биопсия костного мозга необходимы для определения наличия опухолевых клеток в нем.
Спинномозговая пункция позволяет выявить опухолевые клетки в спинномозговой жидкости.
Кроме того, проводятся иммуногистохимические, цитометрические, цитогенетические и молекулярно-генетические исследования клеточного материала для уточнения типа лимфомы, что имеет значение для определения прогноза и выбора метода лечения. Рентгенография грудной клетки помогает выявить увеличенные лимфатические узлы и вилочковую железу, а также наличие жидкости в плевральных полостях.
Компьютерная томография (КТ) особенно полезна при лимфомах в области головы, шеи, грудной клетки, живота и таза, так как позволяет детально исследовать опухоль и окружающие ткани.
Магнитно-резонансная томография (МРТ) особенно эффективна для изучения головного и спинного мозга.
Сканирование с использованием галлия-67 позволяет обнаружить поражения лимфатических узлов, внутренних органов и костей.
Сканирование костной системы с технецием-99 помогает выявить костные поражения, вызванные лимфомой.
Ультразвуковое исследование (УЗИ) предоставляет возможность подробно изучить лимфатические узлы, печень, селезенку и почки.
Лечение Лимфомы:
Выбор программы лечения зависит от вида лимфомы и состояния больного.
- Индолентные лимфомы в отдельных случаях могут не требовать лечения, достаточным является наблюдение врача (гематолога или онколога). Однако появление первых признаков прогрессирования заболевания: увеличения лимфатических узлов, усиления слабости, повышения температуры тела и др. являются сигналом для начала лечения. При местно распространенных стадиях часто используют радиотерапию – облучение пораженных опухолью лимфатических узлов. При генерализованных стадиях предпочтение отдают химиотерапии. Спектр возможных препаратов для лечения индолентных лимфом достаточно велик: хлорбутин, флударабин, циклофосфан, винкристин, ритуксимаб и др. Индолентные лимфомы относятся к заболеваниям, полное излечение которых сегодня представляется маловероятным. Основной целью лечения индолентных лимфом считают увеличение продолжительности и улучшение качества жизни больного.
- Агрессивные лимфомы, как правило, требуют немедленного начала лечения. Одной из наиболее распространенных программ химиотерапии является программа CHOP в сочетании с применением моноклонального антитела Ритуксимаб.
- Высоко агрессивные лимфомы лечатся по программам химиотерапии для острых лимфобластных лейкозов или сходных с ними. Целью лечения агрессивных и высокоагрессивных лимфом является излечение. Однако, это возможно не во всех случаях.
- Одной из эффективных программ лечения агрессивных и высокоагрессивных лимфом является высокодозная химиотерапия с трансплантацией кроветворных стволовых клеток.
Выбор метода лечения – это этап принятия очень важного решения, которое должно основываться на точных данных, касающихся диагноза заболевания, с учетом индивидуальных особенностей больного. Обсуждение вопросов лечения с больным и, по его желанию, с его близкими является неотъемлемым элементом утверждения общей программы лечения
Лечение лимфомы
Лечение лимфомы представляет собой сложную задачу, требующую участия не одного врача, а целой команды высококвалифицированных специалистов. В состав этой команды входят химиотерапевты, радиологи, хирурги, онкологи, гематологи и другие профессионалы. В онкологическом центре «Лапино-2» работают врачи мирового уровня, обладающие всеми необходимыми знаниями и опытом для проведения полной диагностики заболевания и назначения соответствующей терапии. У нас вам не придется повторно сдавать анализы или переделывать исследования, а также беспокоиться о том, что делать дальше. Мы обеспечиваем полное сопровождение пациента и предоставляем ему четкий план действий, следуя которому он достигает наилучших результатов.
Для лечения данного вида онкологии используются несколько методов:
Основным из них является химиотерапия — это препараты, направленные на уничтожение измененных клеток. Они могут приниматься в виде таблеток или вводиться внутривенно, попадая в кровоток и распространяясь по всему организму. Лечение проходит курсами, каждый из которых длится несколько недель, после чего следует период восстановления.
Трансплантация костного мозга или стволовых клеток, из которых формируются клетки крови. Эта процедура позволяет применять более высокие дозы химиотерапии, иногда в сочетании с лучевой терапией, что делает лечение лимфомы более эффективным. Пересадка может быть как донорской, так и собственной, если материал был собран заранее.
Лучевая терапия заключается в уничтожении измененных клеток с помощью радиации. Этот метод подходит для большинства пациентов и особенно эффективен, если заболевание затронуло небольшое количество тканей. Лучевая терапия может применяться как самостоятельно, так и в комбинации с химиотерапией.
Иммунотерапия включает препараты, которые помогают иммунной системе человека лучше распознавать и уничтожать аномальные клетки. Существует несколько типов таких препаратов, используемых при лимфомах, включая:
- моноклональные антитела — белки, созданные для атаки на определенные вещества на поверхности лимфоцитов;
- ингибиторы иммунных контрольных точек — лекарства, которые не позволяют измененным клеткам маскироваться под здоровые;
- Т-клеточная терапия: изъятие иммунных клеток из крови пациента, их модификация в лаборатории, размножение и возвращение в организм для поиска и уничтожения очагов заболевания.
Хирургия часто применяется для получения образцов подозрительных тканей с целью определения их типа, но редко используется как основной метод лечения. В некоторых случаях операции могут быть назначены при поражениях селезенки или других органов, не входящих в лимфатическую систему, таких как щитовидная железа или желудок.
Другие заболевания из группы Онкологические заболевания:
| Аденома гипофиза |
| Аденома паращитовидных (околощитовидных) желез |
| Аденома щитовидной железы |
| Альдостерома |
| Ангиома глотки |
| Ангиосаркома печени |
| Астроцитома головного мозга |
| Базально-клеточный рак (базалиома) |
| Бовеноидный папулез полового члена |
| Болезнь Боуэна |
| Болезнь Педжета (рак соска молочной железы) |
| Болезнь Ходжкина (лимфогранулематоз, злокачественная гранулема) |
| Внутримозговые опухоли полушарий мозга |
| Волосатый полип глотки |
| Ганглиома (ганглионеврома) |
| Ганглионеврома |
| Гемангиобластома |
| Гепатобластома |
| Герминома |
| Гигантская кондилома Бушке-Левенштейна |
| Глиобластома |
| Глиома головного мозга |
| Глиома зрительного нерва |
| Глиома хиазмы |
| Гломусные опухоли (параганглиомы) |
| Гормонально-неактивные опухоли надпочечников (инциденталомы) |
| Грибовидный микоз |
| Доброкачественные опухоли глотки |
| Доброкачественные опухоли зрительного нерва |
| Доброкачественные опухоли плевры |
| Доброкачественные опухоли полости рта |
| Доброкачественные опухоли языка |
| Злокачественные новообразования переднего средостения |
| Злокачественные новообразования слизистой оболочки полости носа и придаточных пазух |
| Злокачественные опухоли плевры (рак плевры) |
| Карциноидный синдром |
| Кисты средостения |
| Кожный рог полового члена |
| Кортикостерома |
| Костеобразующие злокачественные опухоли |
| Костномозговые злокачественные опухоли |
| Краниофарингиома |
| Лейкоплакия полового члена |
| Лимфома Беркитта |
| Лимфома щитовидной железы |
| Лимфосаркома |
| Макроглобулинемия Вальденстрема |
| Медуллобластома головного мозга |
| Мезотелиома брюшины |
| Мезотелиома злокачественная |
| Мезотелиома перикарда |
| Мезотелиома плевры |
| Меланома |
| Меланома конъюнктивы |
| Менингиома |
| Менингиома зрительного нерва |
| Множественная миелома (плазмоцитома, миеломная болезнь) |
| Невринома глотки |
| Невринома слухового нерва |
| Нейробластома |
| Неходжкинская лимфома |
| Облитерирующий ксеротический баланит (склерозирующий лихен) |
| Опухолеподобные поражения |
| Опухоли |
| Опухоли вегетативной нервной системы |
| Опухоли гипофиза |
| Опухоли костей |
| Опухоли лобной доли |
| Опухоли мозжечка |
| Опухоли мозжечка и IV желудочка |
| Опухоли надпочечников |
| Опухоли паращитовидных желез |
| Опухоли плевры |
| Опухоли спинного мозга |
| Опухоли ствола мозга |
| Опухоли центральной нервной системы |
| Опухоли шишковидного тела |
| Остеогенная саркома |
| Остеоидная остеома (остеоид-остеома) |
| Остеома |
| Остеохондрома |
| Остроконечные кондиломы полового члена |
| Папиллома глотки |
| Папиллома полости рта |
| Параганглиома среднего уха |
| Пинеалома |
| Пинеобластома |
| Плоскоклеточный рак кожи |
| Пролактинома |
| Рак анального канала |
| Рак ануса (анальный рак) |
| Рак бронхов |
| Рак вилочковой железы (рак тимуса) |
| Рак влагалища |
| Рак внепеченочных желчных путей |
| Рак вульвы (наружных половых органов) |
| Рак гайморовой пазухи |
| Рак глотки |
| Рак головного мозга |
| Рак гортани |
| Рак губы |
| Рак губы |
| Рак двенадцатиперстной кишки |
| Рак желудка |
| Рак желчного пузыря |
| Рак конъюнктивы |
| Рак лёгкого |
| Рак матки |
| Рак маточной (фаллопиевой) трубы |
| Рак молочной железы (рак груди) |
| Рак мочевого пузыря |
| Рак мошонки |
| Рак паращитовидных (околощитовидных) желез |
| Рак печени |
| Рак пищевода |
| Рак поджелудочной железы |
| Рак полового члена |
| Рак почечной лоханки и мочеточника |
| Рак почки |
| Рак предстательной железы (простаты) |
| Рак придатка яичка |
| Рак прямой кишки (колоректальный рак) |
| Рак среднего уха |
| Рак толстого кишечника |
| Рак тонкого кишечника |
| Рак трахеи |
| Рак уретры (мочеиспускательного канала) |
| Рак шейки матки |
| Рак щитовидной железы |
| Рак эндометрия (рак тела матки) |
| Рак языка |
| Рак яичка |
| Рак яичников |
| Ретикулосаркома |
| Ретинобластома (рак сетчатки) |
| Саркома Юинга |
| Синдром Сезари |
| Соеденительнотканные злокачественные опухоли |
| Соединительнотканные опухоли |
| Сосудстые опухоли |
| Тимома |
| Феохромоцитома |
| Фиброма носоглотки |
| Фиброма полости рта |
| Хемодектома каротидная |
| Хондробластома |
| Хондрома |
| Хондромиксоидная фиброма |
| Хондросаркома |
| Хордома |
| Хориоангиома плаценты |
| Хрящеобразующие злокачественные опухоли |
| Эпендимома головного мозга |
| Эритроплазия Кейра |
| Эстезионейробластома (нейроэпителиома обонятельного нерва) |
Профилактика лимфомы у кошек
Профилактика лимфомы у кошек является важным аспектом заботы о здоровье питомца. Хотя полностью предотвратить развитие этого заболевания невозможно, существуют меры, которые могут снизить риск его возникновения и помочь в поддержании общего здоровья кошки.
Во-первых, регулярные ветеринарные осмотры играют ключевую роль в раннем выявлении заболеваний. Ветеринар может провести необходимые анализы и обследования, чтобы определить состояние здоровья вашей кошки и выявить возможные предрасполагающие факторы к лимфоме.
Во-вторых, правильное питание является основой крепкого иммунитета. Кошки должны получать сбалансированный рацион, богатый необходимыми витаминами и минералами. Избегайте кормления кошки некачественными продуктами или остатками со стола, так как это может привести к нарушениям пищеварения и ослаблению иммунной системы.
Также стоит обратить внимание на условия содержания. Кошки, которые живут в стрессовой обстановке или имеют ограниченный доступ к свежему воздуху и солнечному свету, могут быть более подвержены заболеваниям. Обеспечьте своему питомцу комфортное и безопасное пространство, где он сможет свободно двигаться и играть.
Иммунная система кошки также может быть ослаблена из-за инфекционных заболеваний. Вакцинация против распространенных инфекций, таких как вирусный лейкоз и вирус иммунодефицита, может помочь снизить риск развития лимфомы. Обсудите с ветеринаром график вакцинации для вашей кошки.
Кроме того, избегайте контакта вашей кошки с другими животными, которые могут быть носителями инфекций. Если у вас есть несколько домашних животных, следите за их здоровьем и проводите регулярные проверки.
Наконец, важно помнить о генетической предрасположенности. Некоторые породы кошек, такие как сиамские и абиссинские, имеют более высокий риск развития лимфомы. Если у вас есть кошка из такой породы, будьте особенно внимательны к ее здоровью и регулярно консультируйтесь с ветеринаром.
Следуя этим рекомендациям, вы сможете значительно снизить риск развития лимфомы у вашей кошки и обеспечить ей долгую и здоровую жизнь.
Вопрос-ответ
Какие основные симптомы лимфомы у кошек?
Симптомы лимфомы у кошек могут варьироваться, но наиболее распространенные включают потерю аппетита, потерю веса, рвоту, диарею, усталость и увеличение лимфатических узлов. Также могут наблюдаться проблемы с дыханием или затрудненное глотание, в зависимости от локализации опухоли.
Как диагностируется лимфома у кошек?
Диагностика лимфомы у кошек обычно включает физический осмотр ветеринаром, анализы крови, ультразвуковое исследование и биопсию лимфатических узлов или других пораженных тканей. Эти методы помогают определить наличие раковых клеток и стадию заболевания.
Какие методы лечения лимфомы у кошек существуют?
Лечение лимфомы у кошек может включать химиотерапию, радиотерапию и хирургическое вмешательство, в зависимости от стадии заболевания и общего состояния животного. Химиотерапия является наиболее распространенным методом, который может значительно продлить жизнь кошки и улучшить ее качество. Важно также обеспечить поддержку и комфорт питомца в процессе лечения.
Советы
СОВЕТ №1
Регулярно наблюдайте за состоянием здоровья вашей кошки. Обратите внимание на изменения в аппетите, весе, активности и поведении. Раннее выявление симптомов может значительно улучшить прогноз и эффективность лечения.
СОВЕТ №2
При подозрении на лимфому или другие заболевания, немедленно обратитесь к ветеринару. Не откладывайте визит, так как своевременная диагностика и лечение могут спасти жизнь вашей кошке.
СОВЕТ №3
Обсудите с ветеринаром все доступные варианты лечения, включая химиотерапию и поддерживающую терапию. Понимание процесса лечения поможет вам лучше заботиться о питомце и принимать обоснованные решения.
СОВЕТ №4
Создайте комфортную и спокойную обстановку для вашей кошки во время лечения. Убедитесь, что у нее есть доступ к уютному месту, где она может отдохнуть, и обеспечьте ей качественное питание, чтобы поддерживать силы.
Профилактика лимфомы у кошек является важным аспектом заботы о здоровье питомца. Хотя полностью предотвратить развитие этого заболевания невозможно, существуют меры, которые могут снизить риск его возникновения и помочь в поддержании общего здоровья кошки.
Во-первых, регулярные ветеринарные осмотры играют ключевую роль в раннем выявлении заболеваний. Ветеринар может провести необходимые анализы и обследования, чтобы определить состояние здоровья вашей кошки и выявить возможные предрасполагающие факторы к лимфоме.
Во-вторых, правильное питание является основой крепкого иммунитета. Кошки должны получать сбалансированный рацион, богатый необходимыми витаминами и минералами. Избегайте кормления кошки некачественными продуктами или остатками со стола, так как это может привести к нарушениям пищеварения и ослаблению иммунной системы.
Также стоит обратить внимание на условия содержания. Кошки, которые живут в стрессовой обстановке или имеют ограниченный доступ к свежему воздуху и солнечному свету, могут быть более подвержены заболеваниям. Обеспечьте своему питомцу комфортное и безопасное пространство, где он сможет свободно двигаться и играть.
Иммунная система кошки также может быть ослаблена из-за инфекционных заболеваний. Вакцинация против распространенных инфекций, таких как вирусный лейкоз и вирус иммунодефицита, может помочь снизить риск развития лимфомы. Обсудите с ветеринаром график вакцинации для вашей кошки.
Кроме того, избегайте контакта вашей кошки с другими животными, которые могут быть носителями инфекций. Если у вас есть несколько домашних животных, следите за их здоровьем и проводите регулярные проверки.
Наконец, важно помнить о генетической предрасположенности. Некоторые породы кошек, такие как сиамские и абиссинские, имеют более высокий риск развития лимфомы. Если у вас есть кошка из такой породы, будьте особенно внимательны к ее здоровью и регулярно консультируйтесь с ветеринаром.
Следуя этим рекомендациям, вы сможете значительно снизить риск развития лимфомы у вашей кошки и обеспечить ей долгую и здоровую жизнь.
Профилактика лимфомы у кошек является важным аспектом заботы о здоровье питомца. Хотя полностью предотвратить развитие этого заболевания невозможно, существуют меры, которые могут снизить риск его возникновения и помочь в поддержании общего здоровья кошки.
Во-первых, регулярные ветеринарные осмотры играют ключевую роль в раннем выявлении заболеваний. Ветеринар может провести необходимые анализы и обследования, чтобы определить состояние здоровья вашей кошки и выявить возможные предрасполагающие факторы к лимфоме.
Во-вторых, правильное питание является основой крепкого иммунитета. Кошки должны получать сбалансированный рацион, богатый необходимыми витаминами и минералами. Избегайте кормления кошки некачественными продуктами или остатками со стола, так как это может привести к нарушениям пищеварения и ослаблению иммунной системы.
Также стоит обратить внимание на условия содержания. Кошки, которые живут в стрессовой обстановке или имеют ограниченный доступ к свежему воздуху и солнечному свету, могут быть более подвержены заболеваниям. Обеспечьте своему питомцу комфортное и безопасное пространство, где он сможет свободно двигаться и играть.
Иммунная система кошки также может быть ослаблена из-за инфекционных заболеваний. Вакцинация против распространенных инфекций, таких как вирусный лейкоз и вирус иммунодефицита, может помочь снизить риск развития лимфомы. Обсудите с ветеринаром график вакцинации для вашей кошки.
Кроме того, избегайте контакта вашей кошки с другими животными, которые могут быть носителями инфекций. Если у вас есть несколько домашних животных, следите за их здоровьем и проводите регулярные проверки.
Наконец, важно помнить о генетической предрасположенности. Некоторые породы кошек, такие как сиамские и абиссинские, имеют более высокий риск развития лимфомы. Если у вас есть кошка из такой породы, будьте особенно внимательны к ее здоровью и регулярно консультируйтесь с ветеринаром.
Следуя этим рекомендациям, вы сможете значительно снизить риск развития лимфомы у вашей кошки и обеспечить ей долгую и здоровую жизнь.







